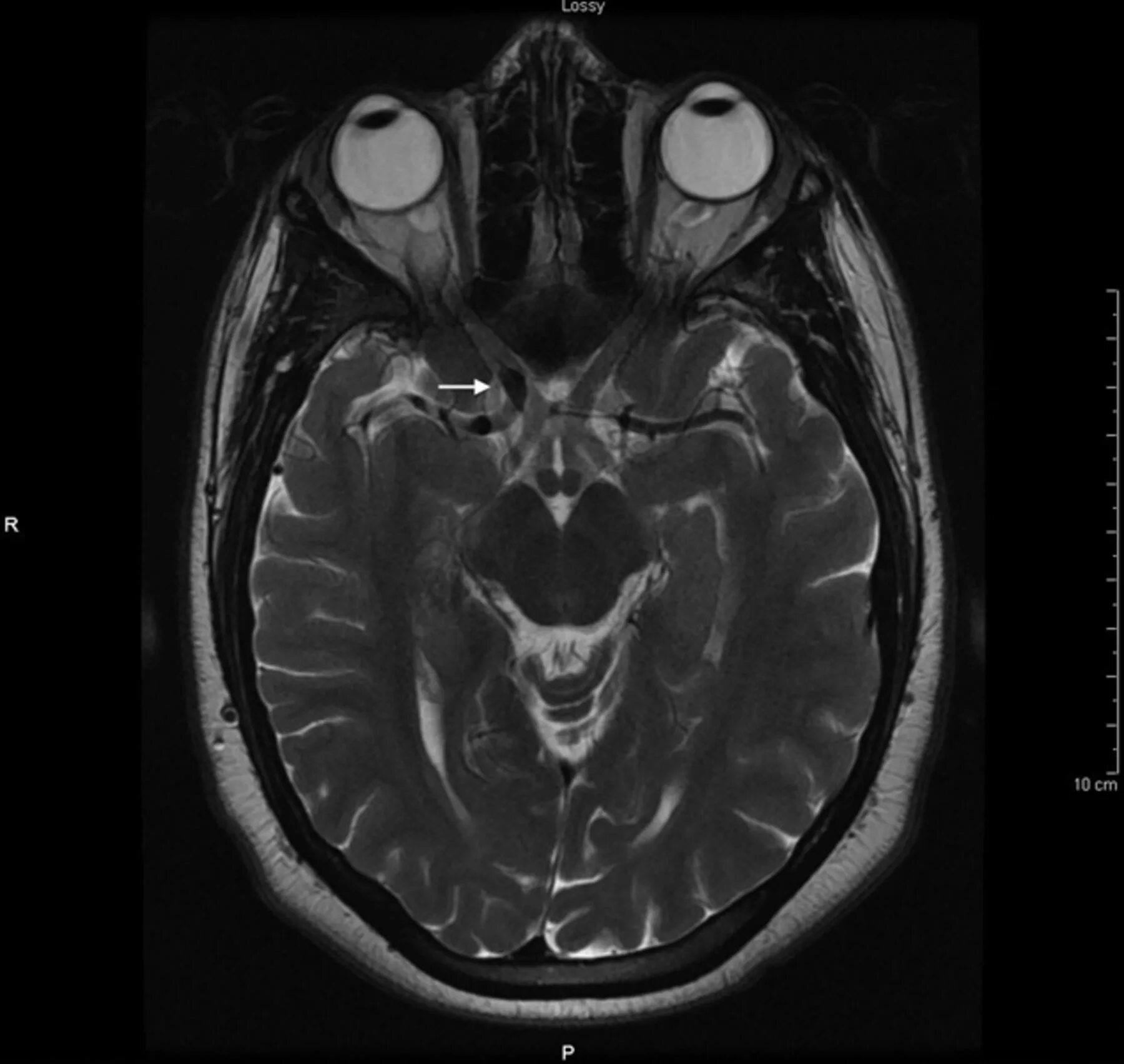
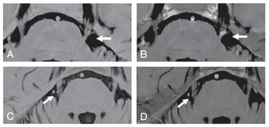
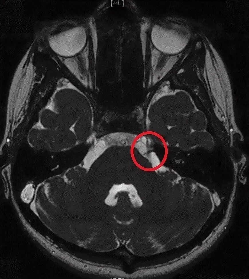
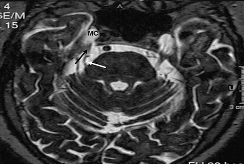
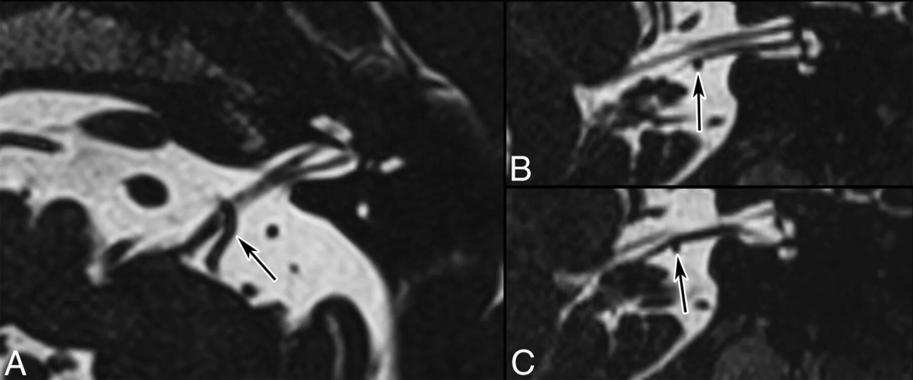
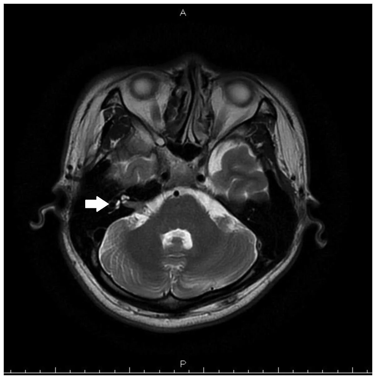
Нейроваскулярный конфликт нерва