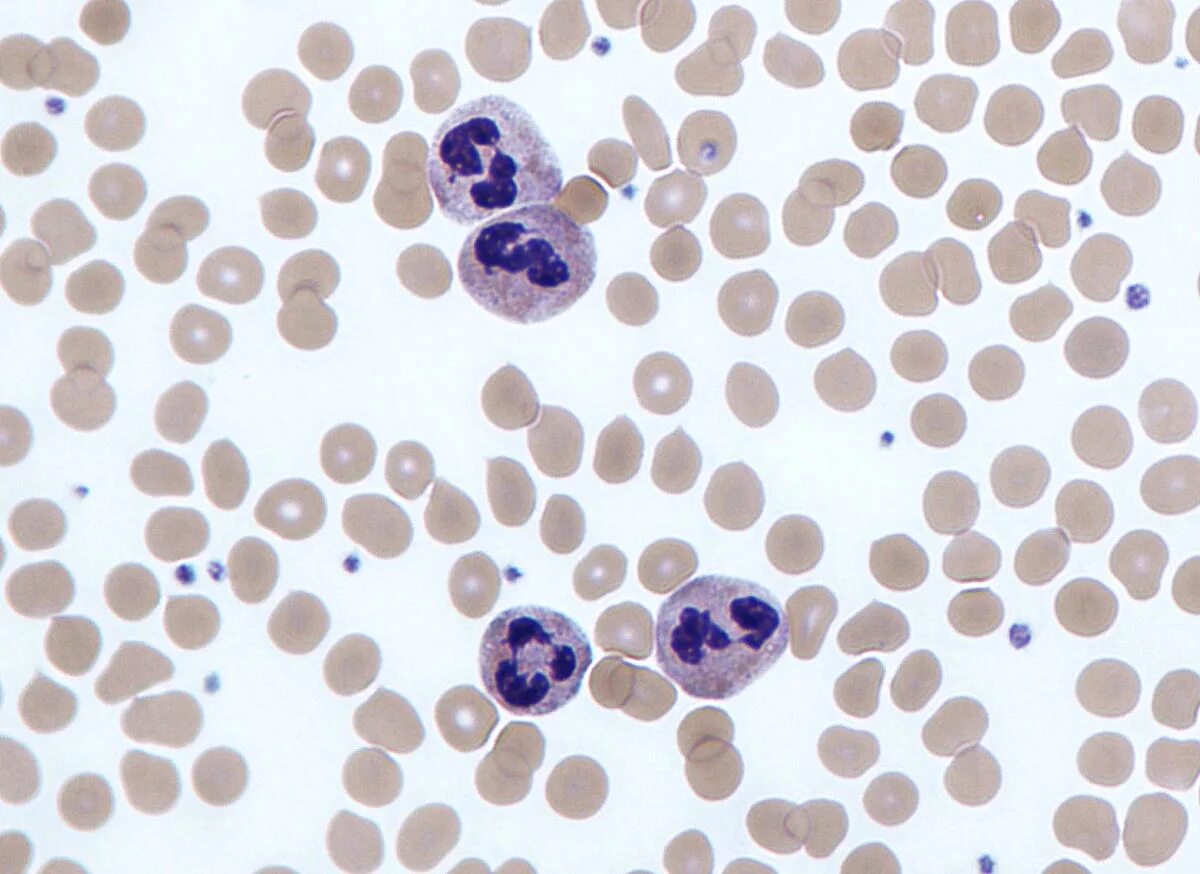
Нейтрофилы 1 9