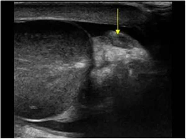
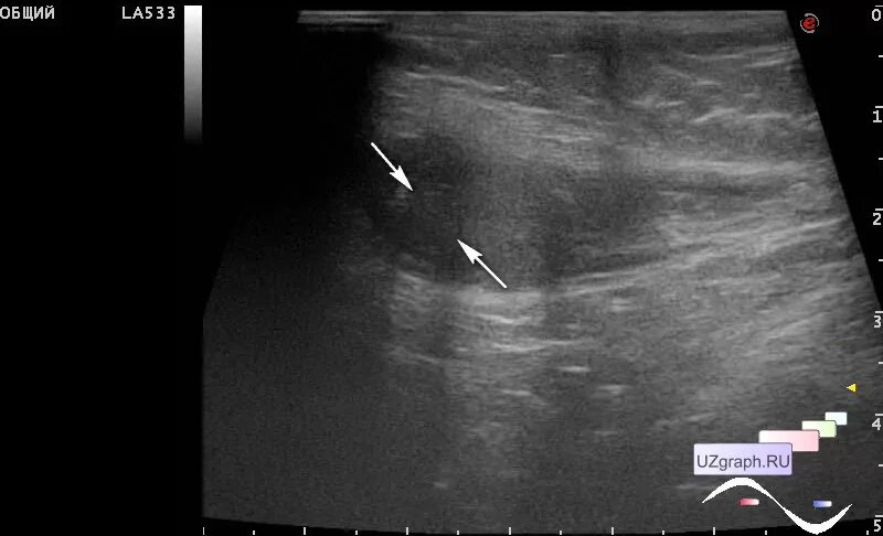
Обеих яичек