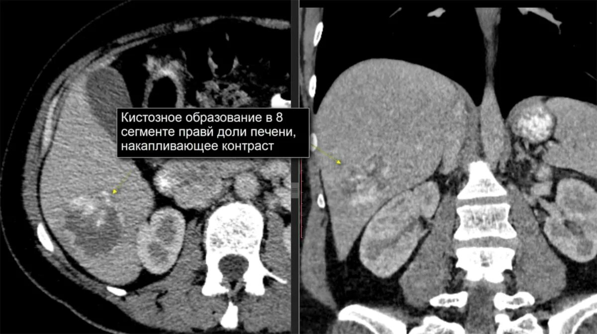
Образования печени кт