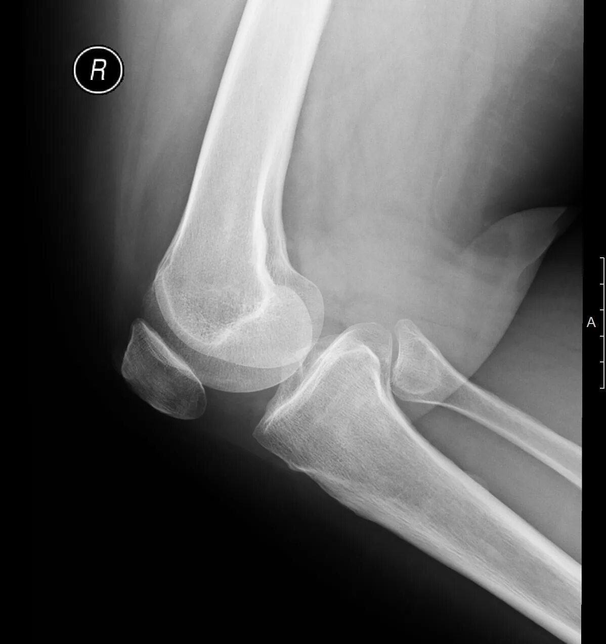
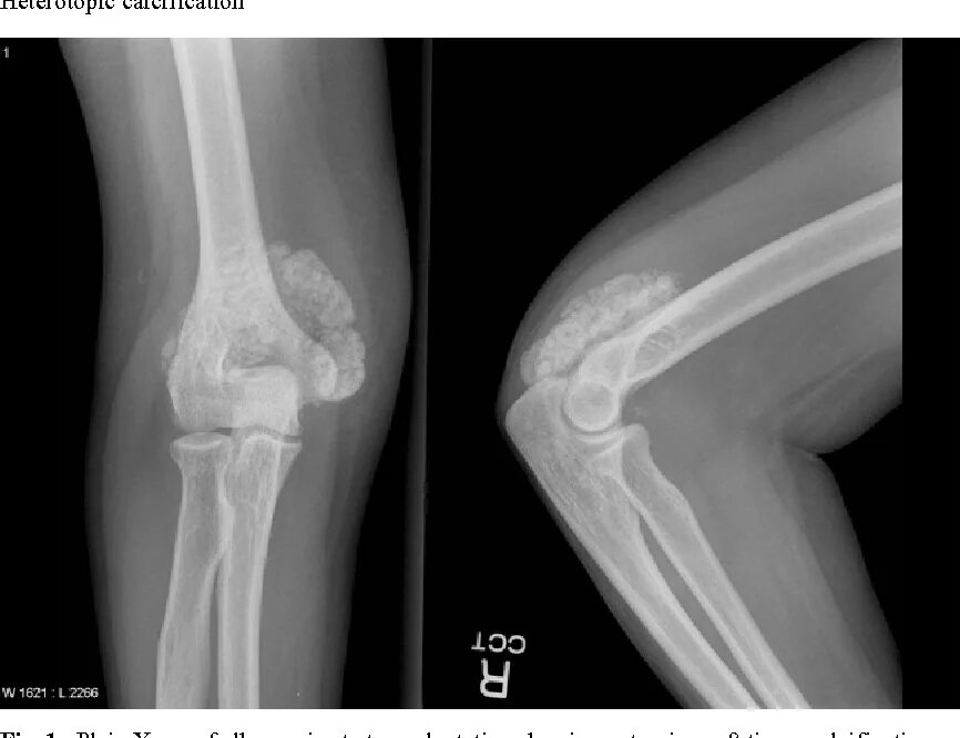
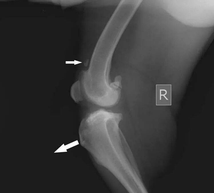
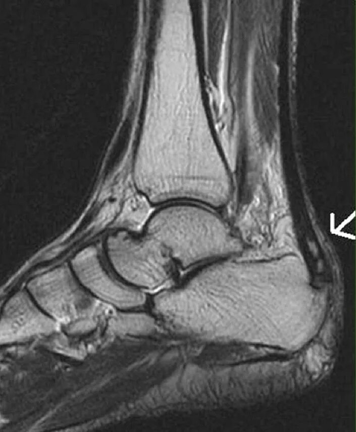
Обызвествление сухожилий мышц