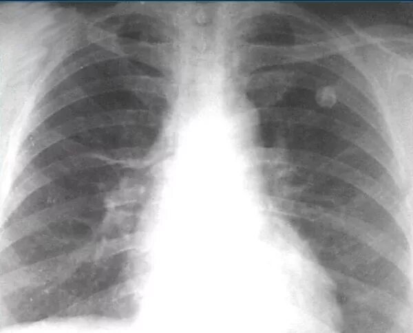
Очаг симон