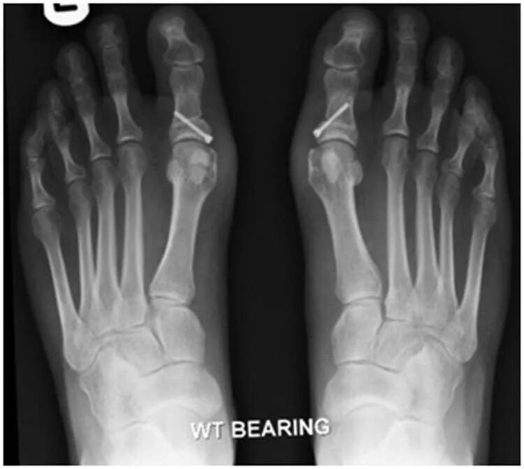
Операция деформации пальцев стопы