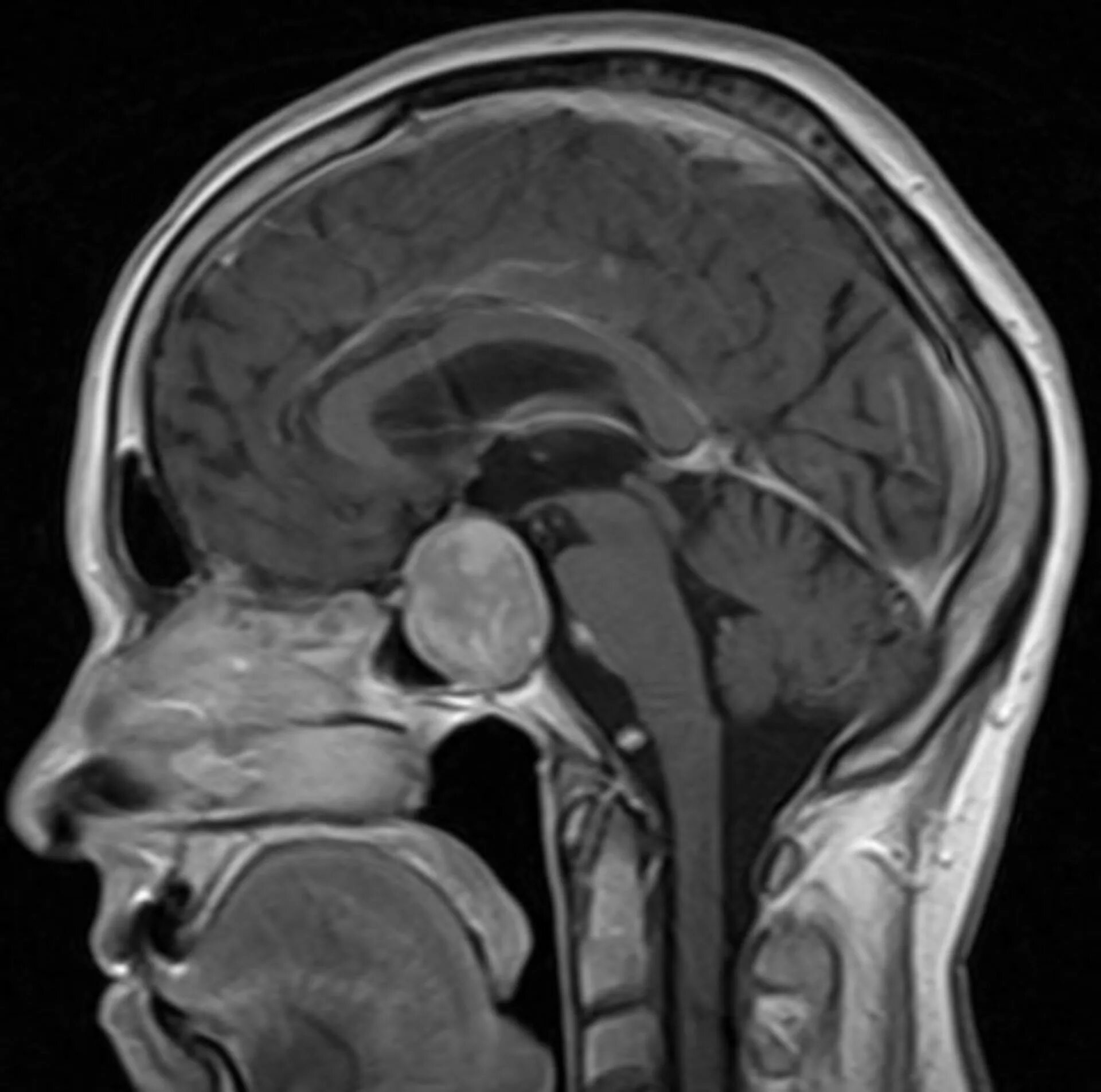
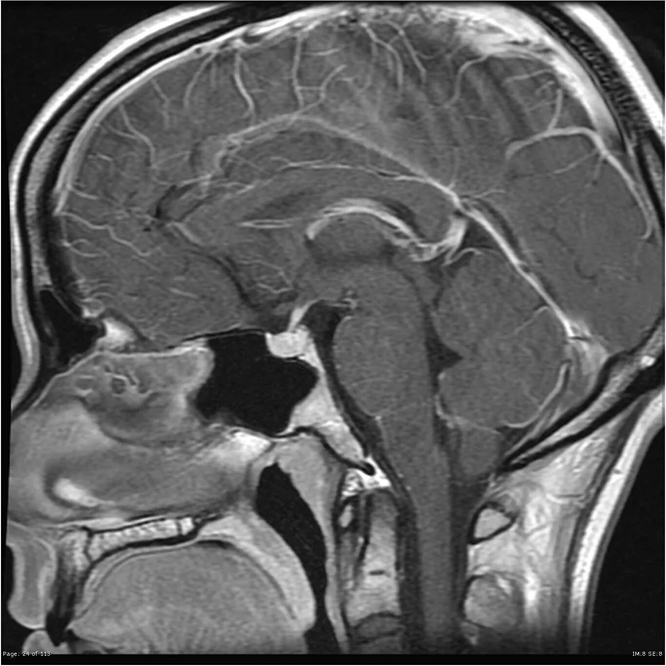
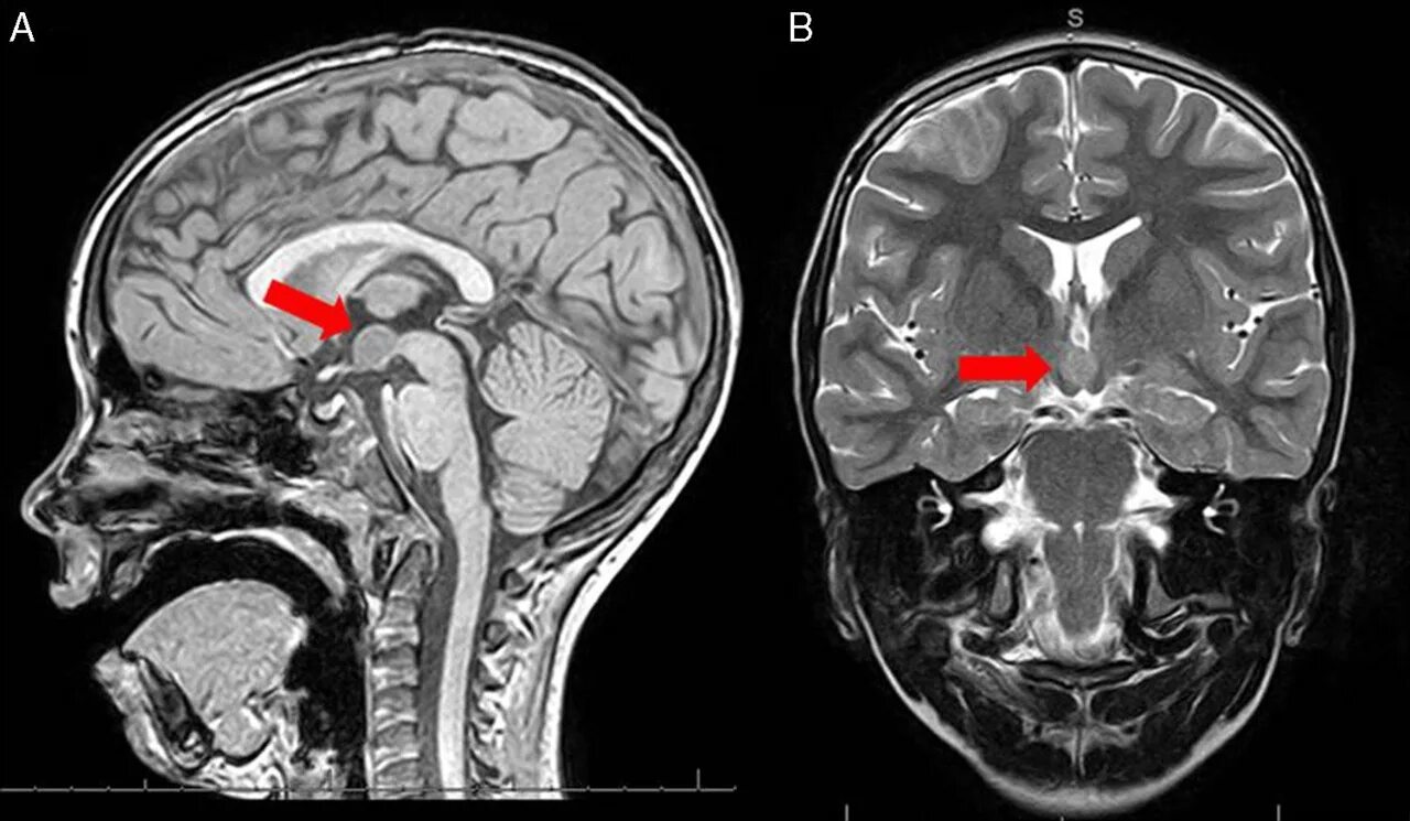
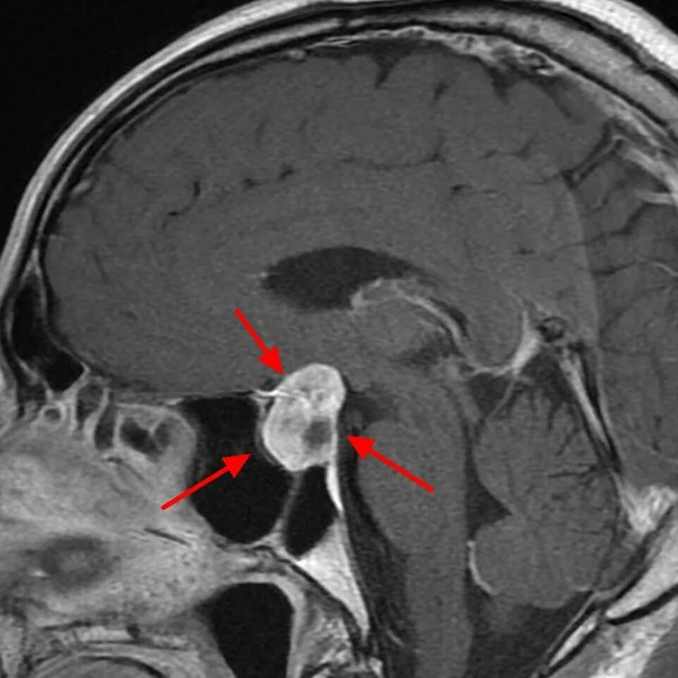
Опухоль гипофиза