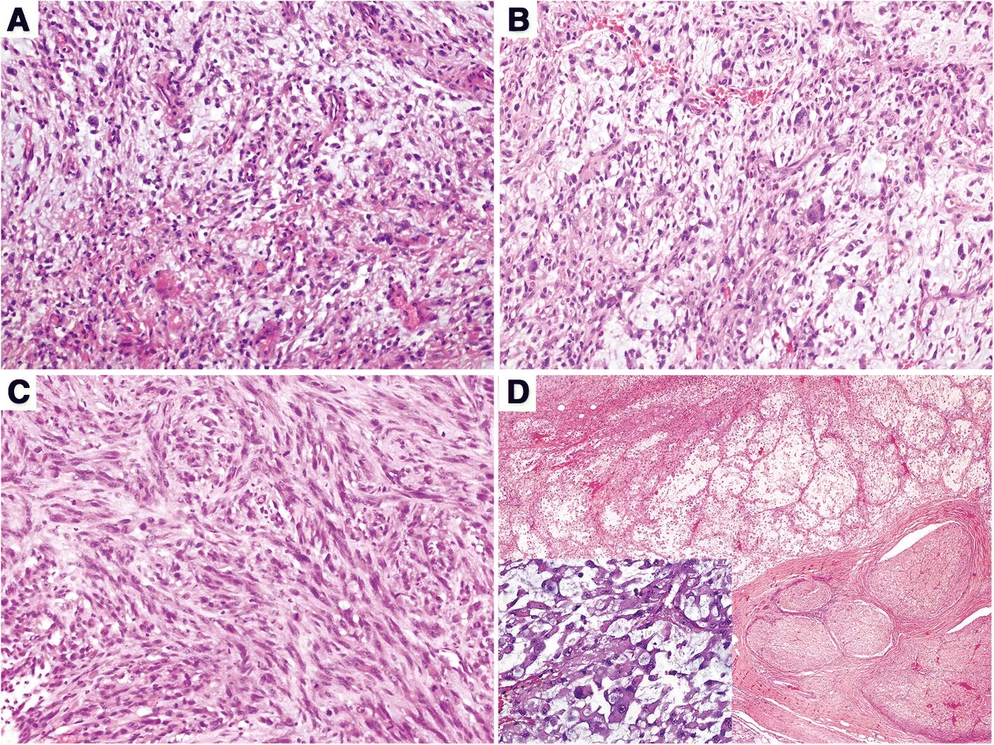
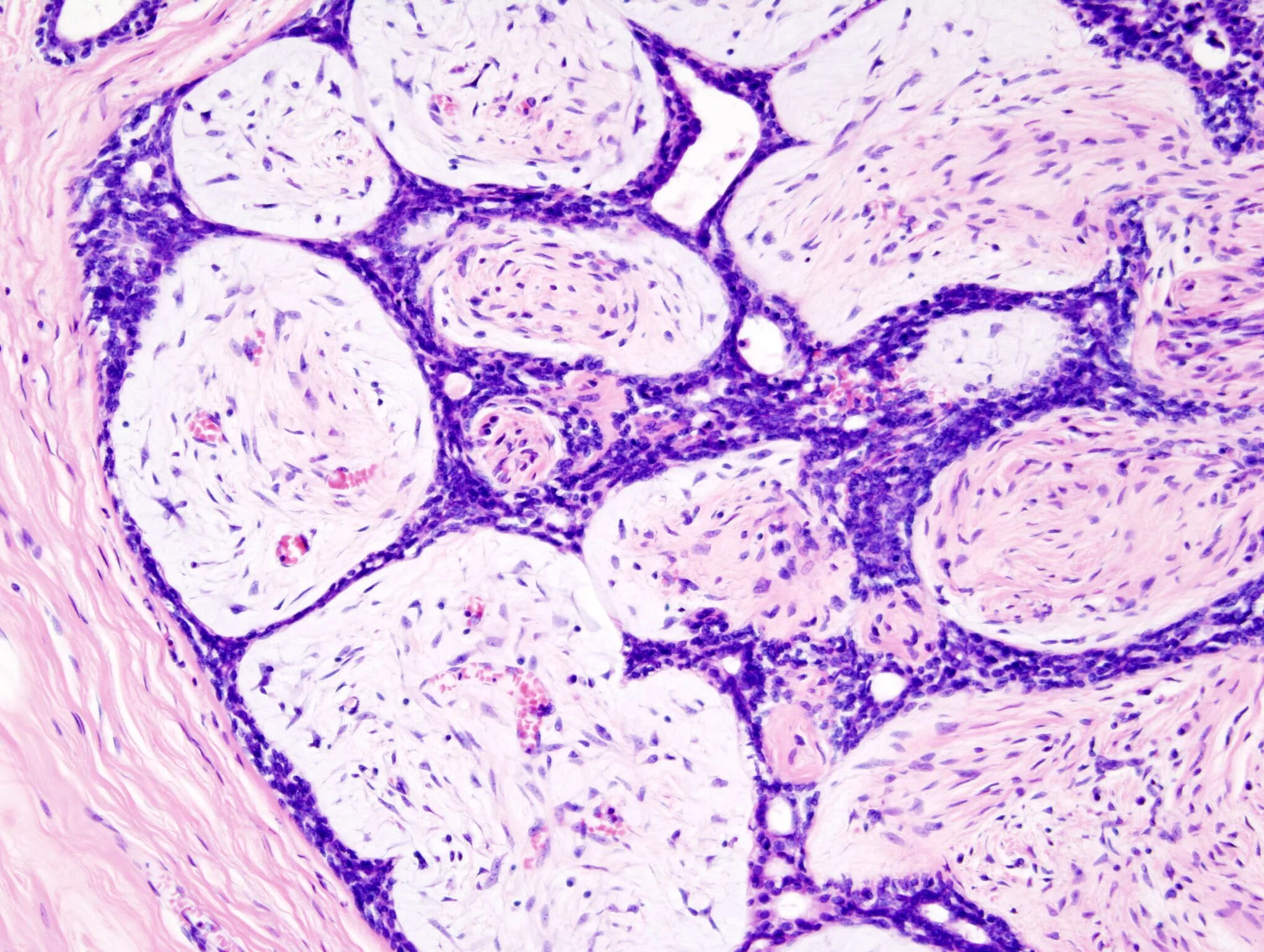
Опухоль с преобладанием стромы на ощупь