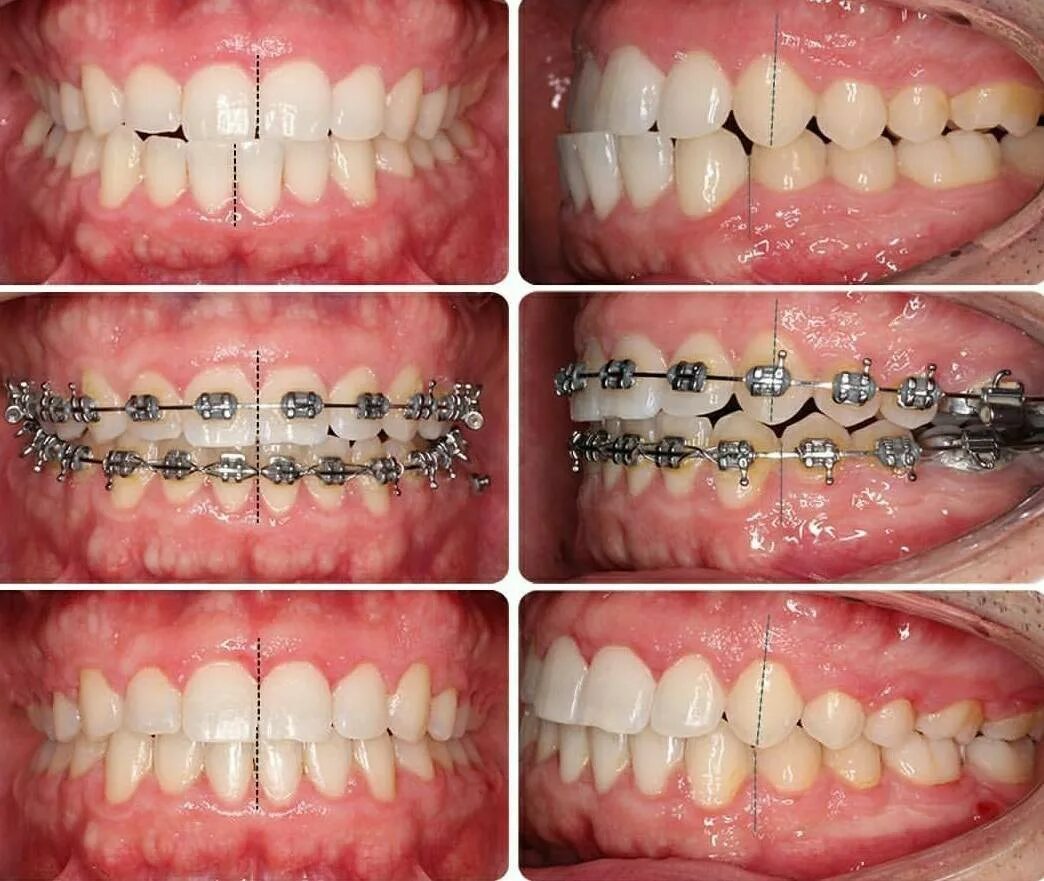
Ортодонт система