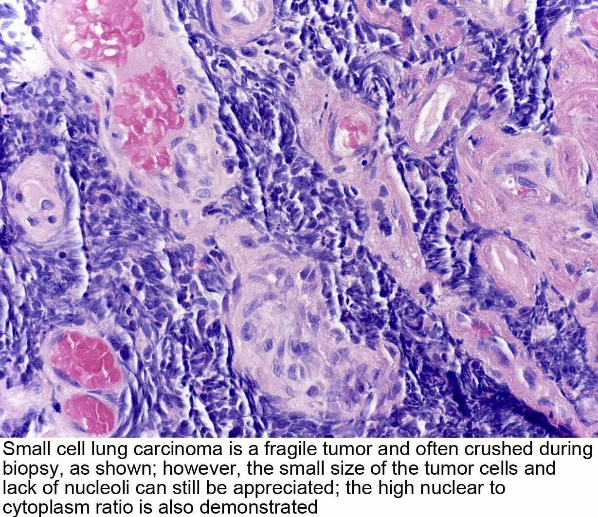
Ошибочная гистология