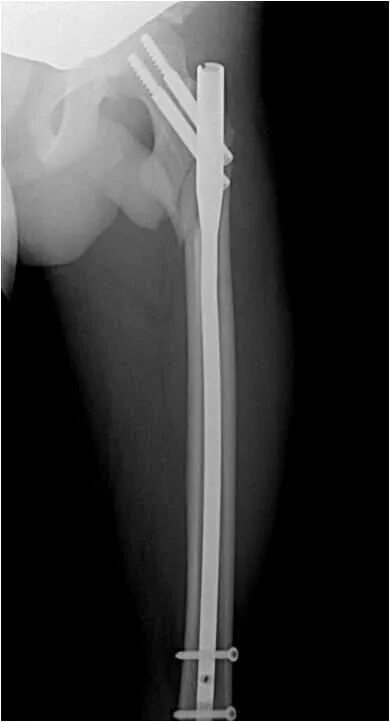
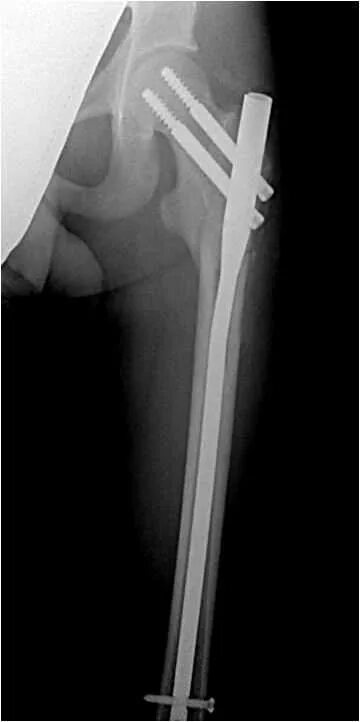
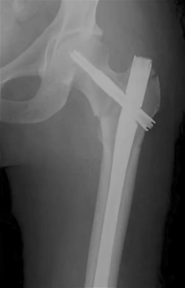
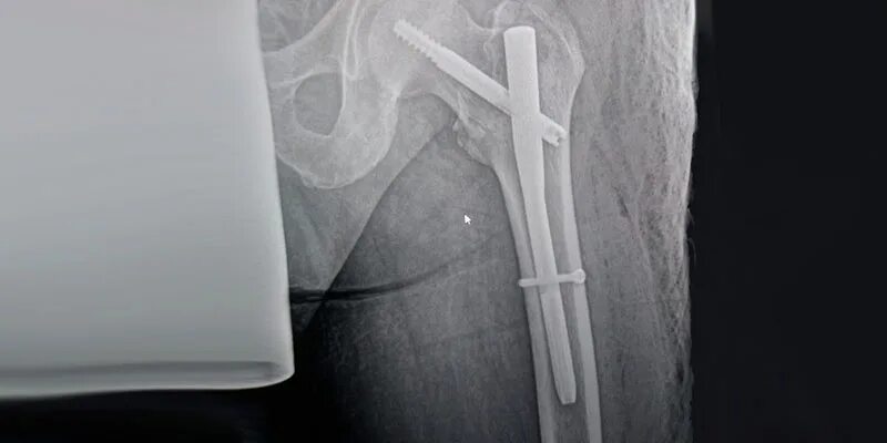
Остеосинтез чрезвертельного перелома