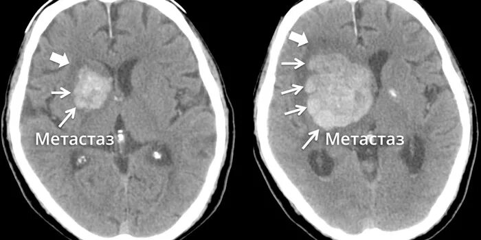
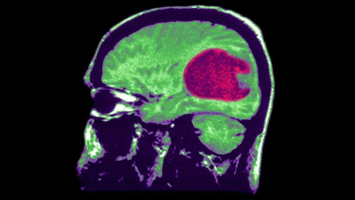
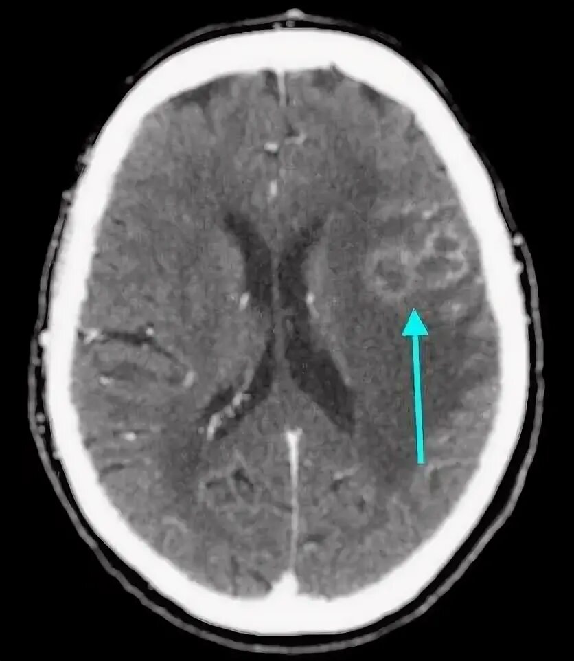
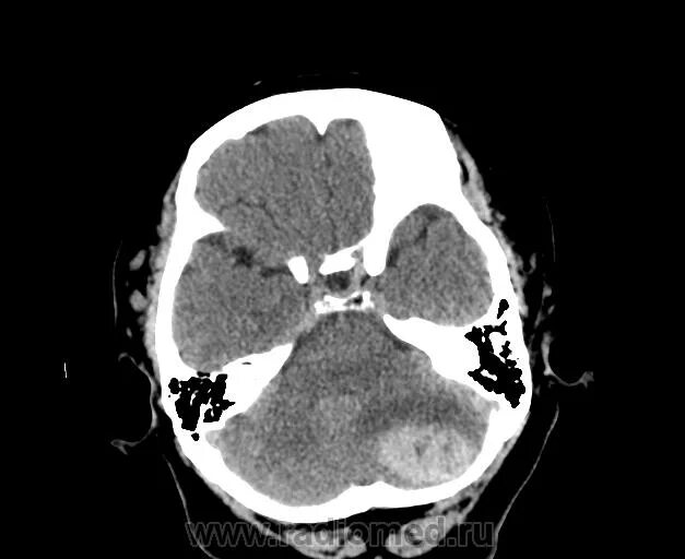
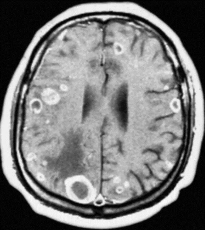
Отек мозга метастазы