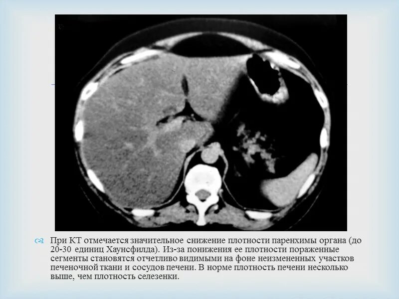
Паренхима печени диффузно снижена