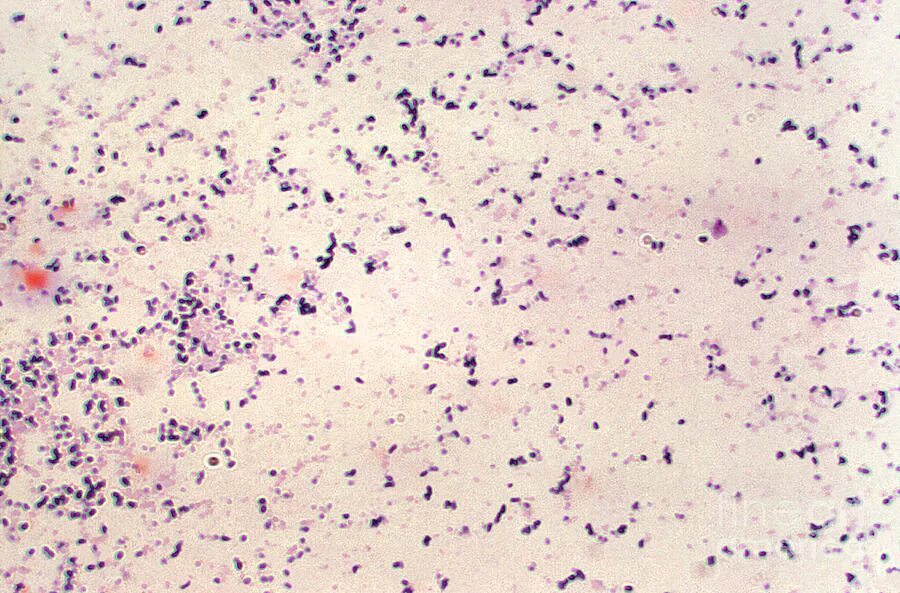
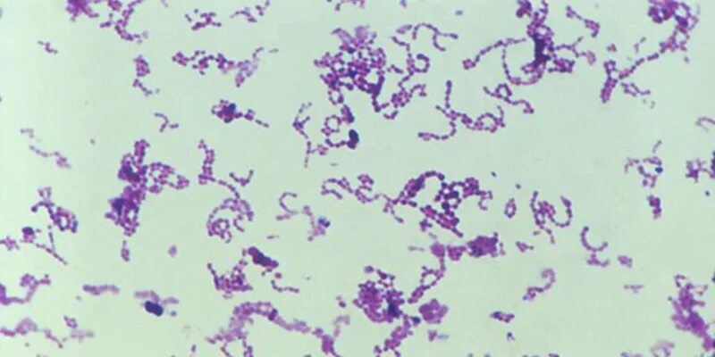
Peptostreptococcus spp