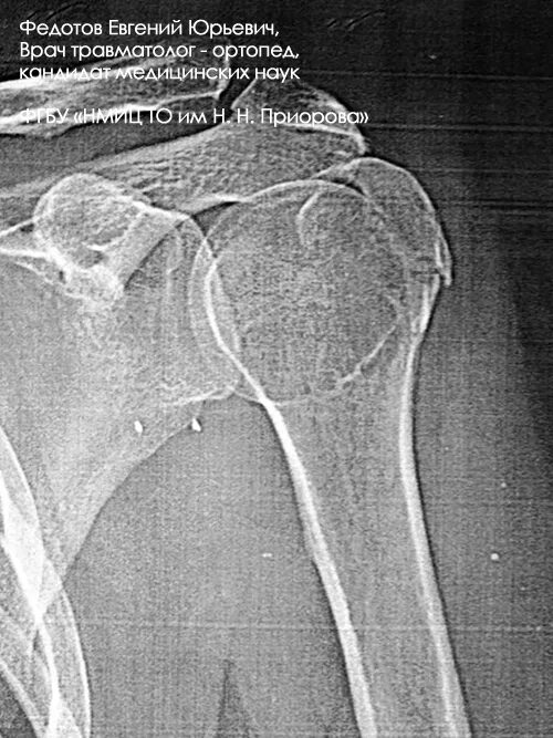
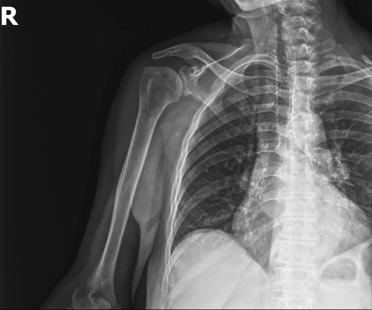
Перелом б бугорка