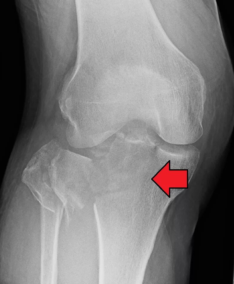
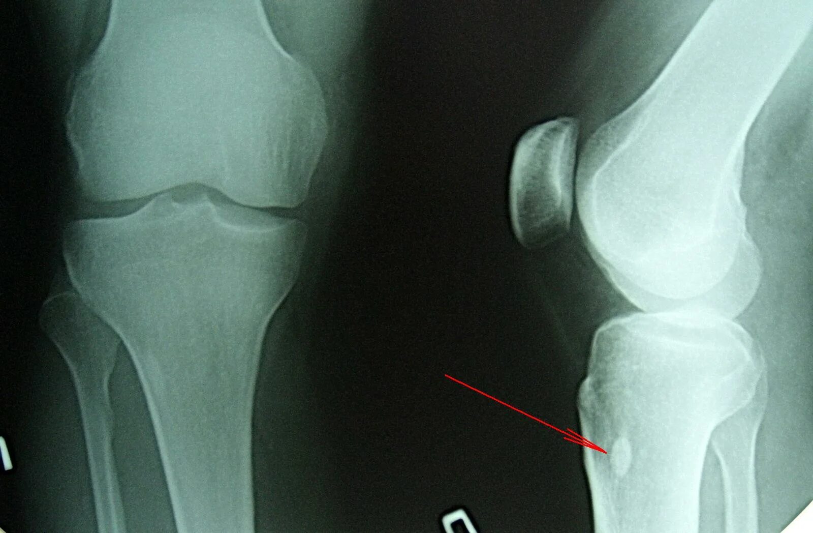
Перелом коленного сустава мкб