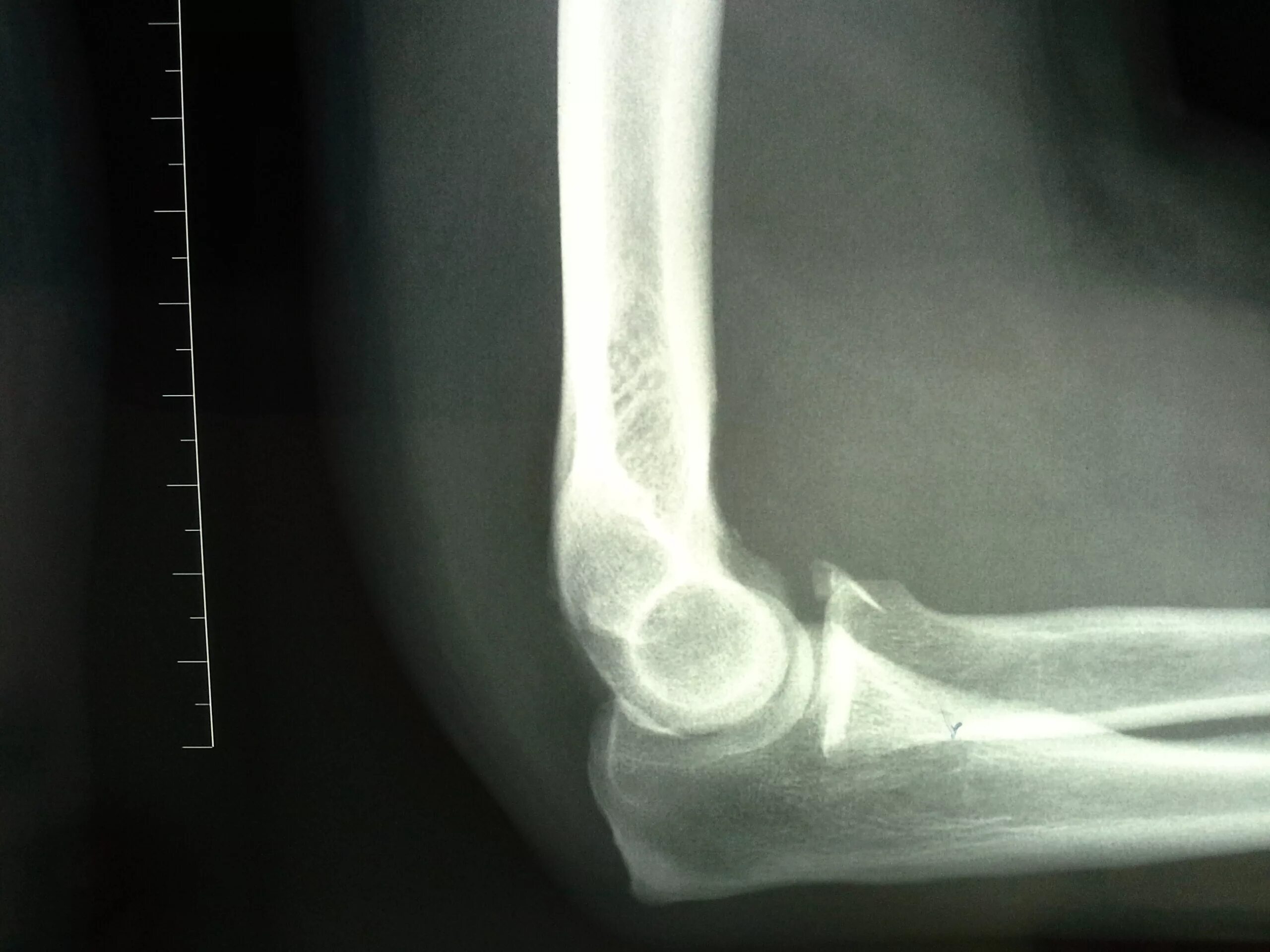
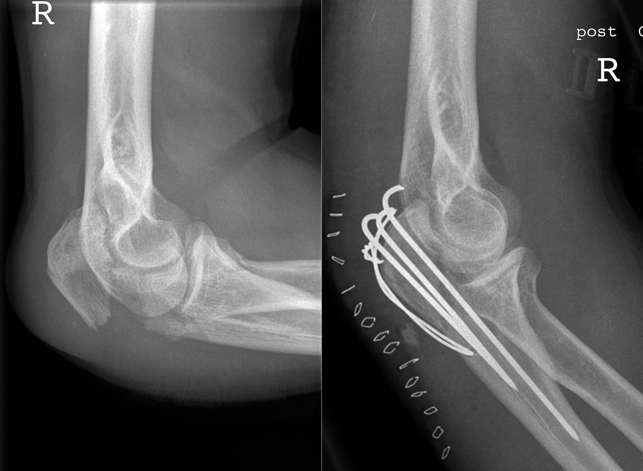
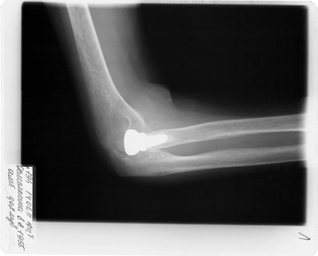
Перелом локтевой