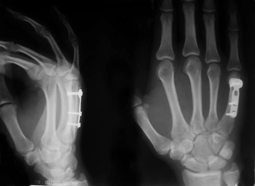
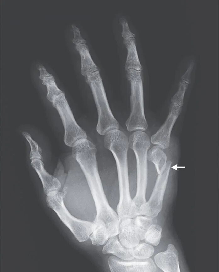
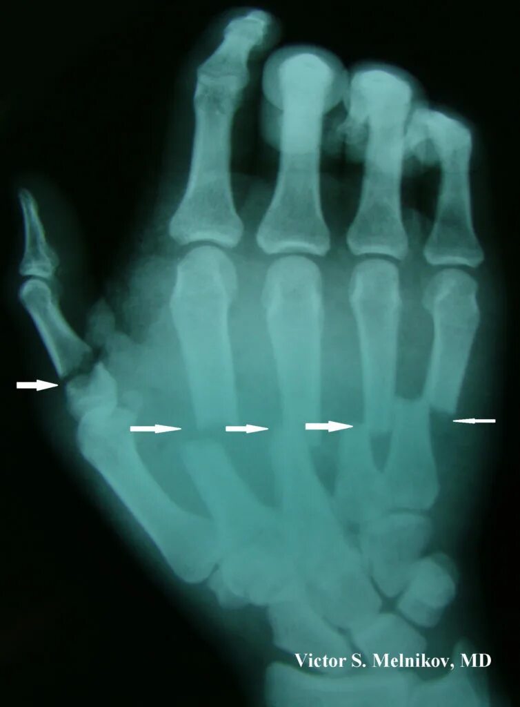
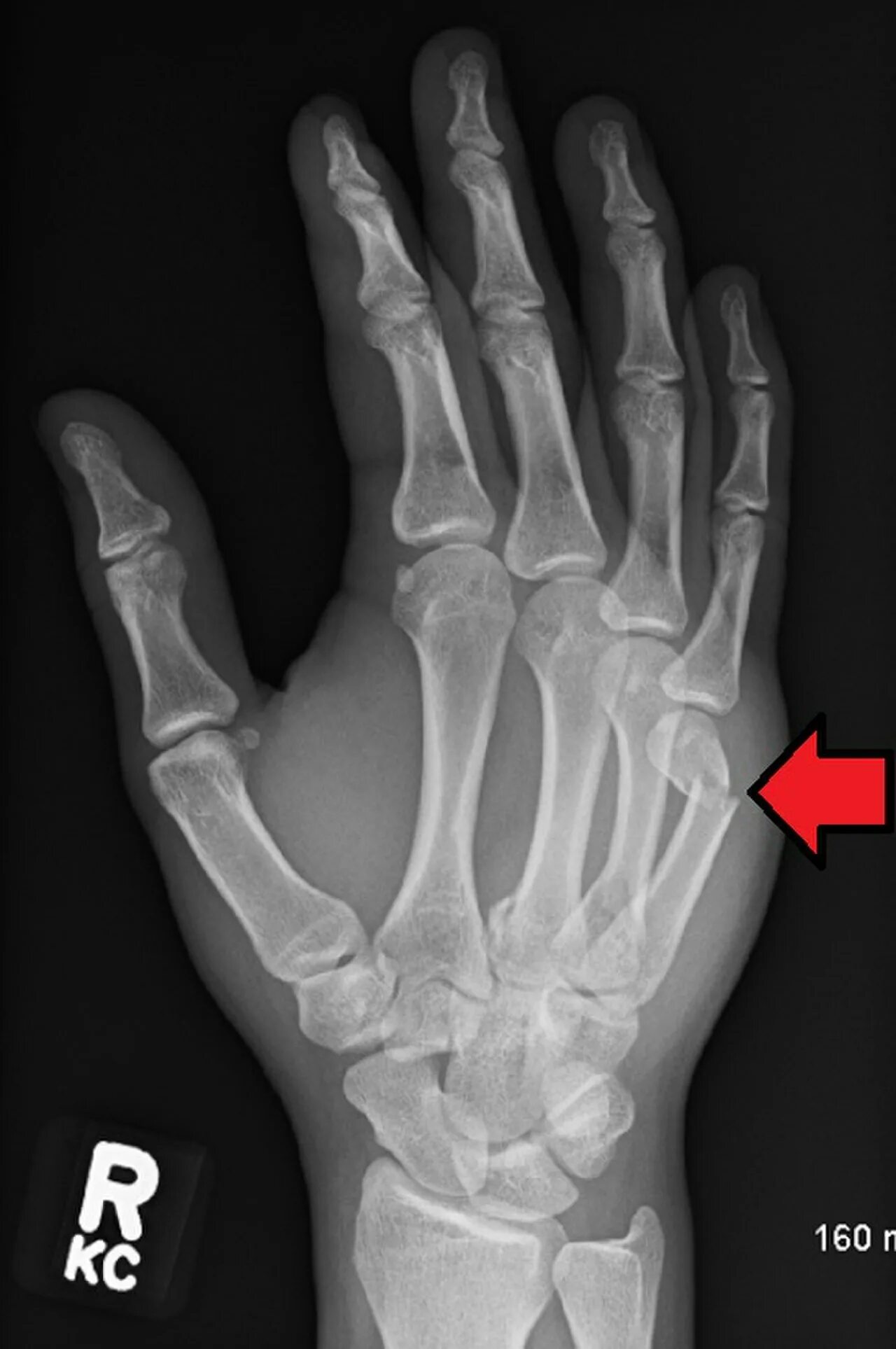
Перелом пятой пястной кости