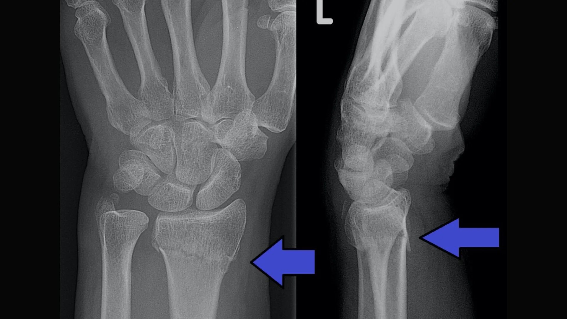
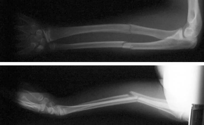
Перелом руки срок срастания