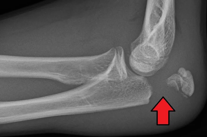
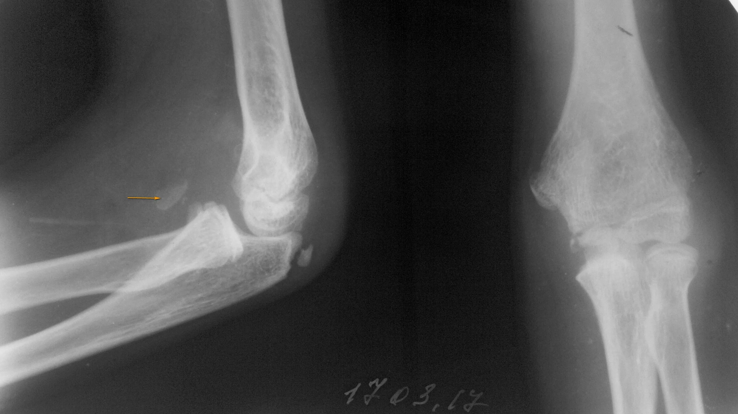
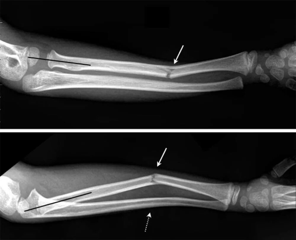
Перелом смещение локтя