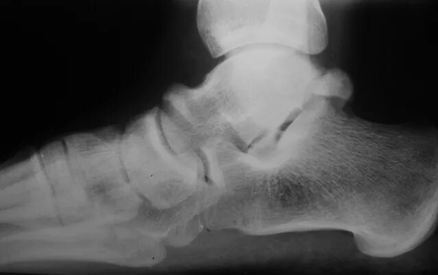
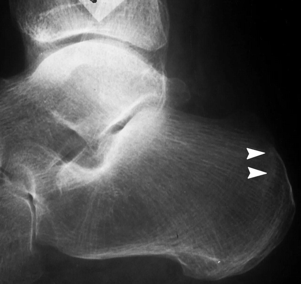
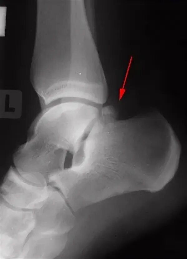
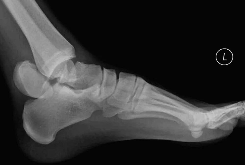
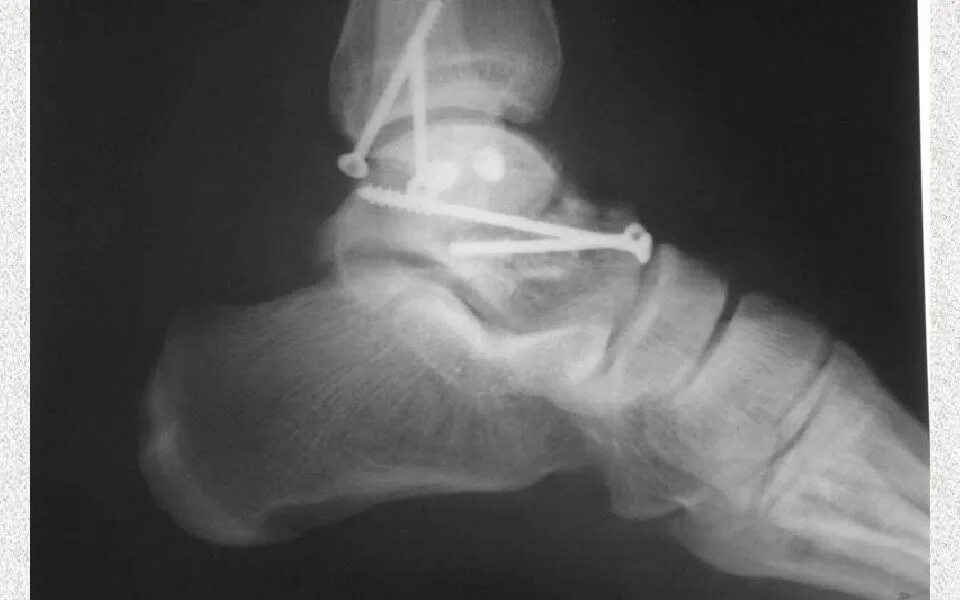
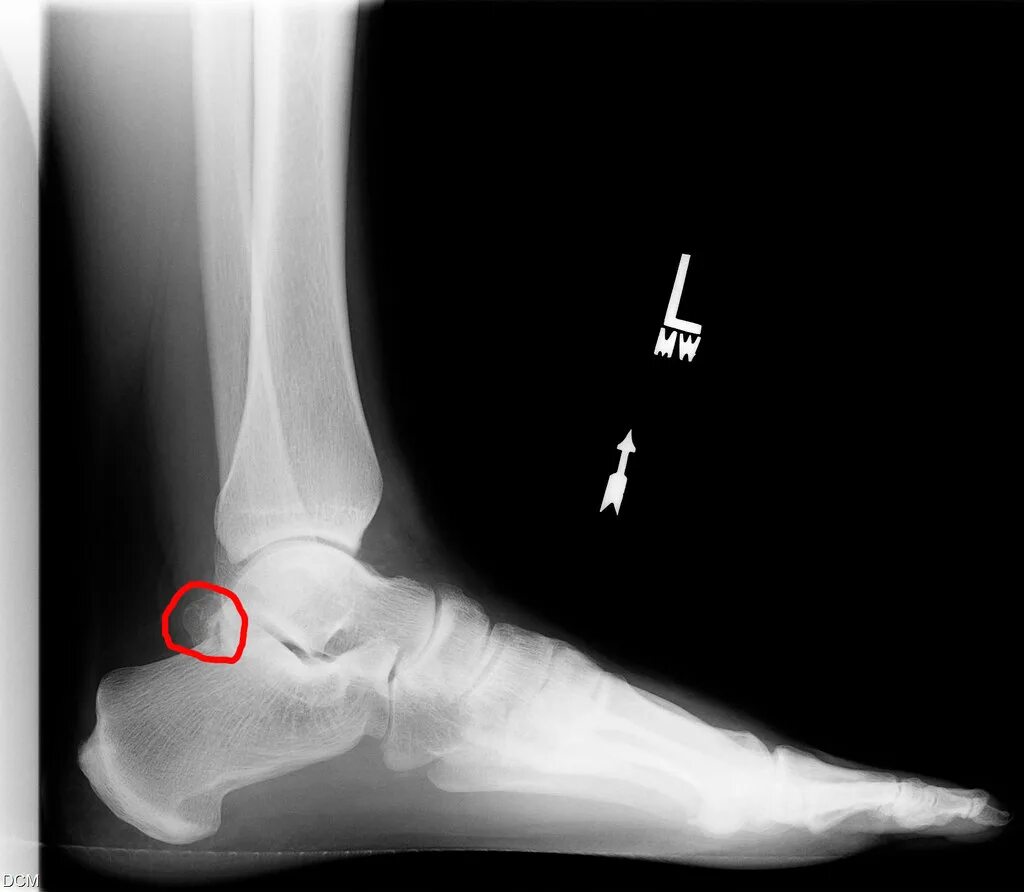
Перелом заднего