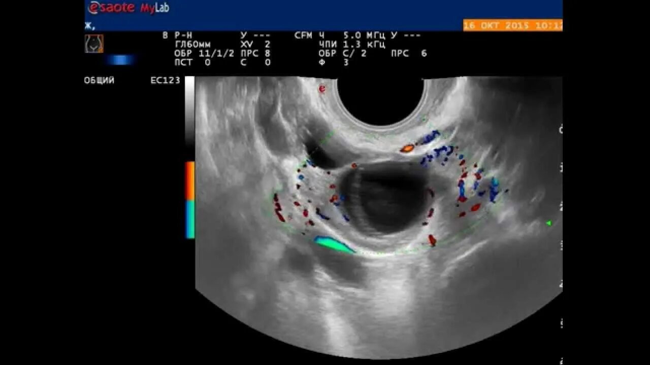
Персистирует фолликул