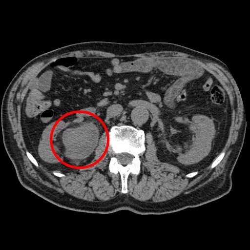
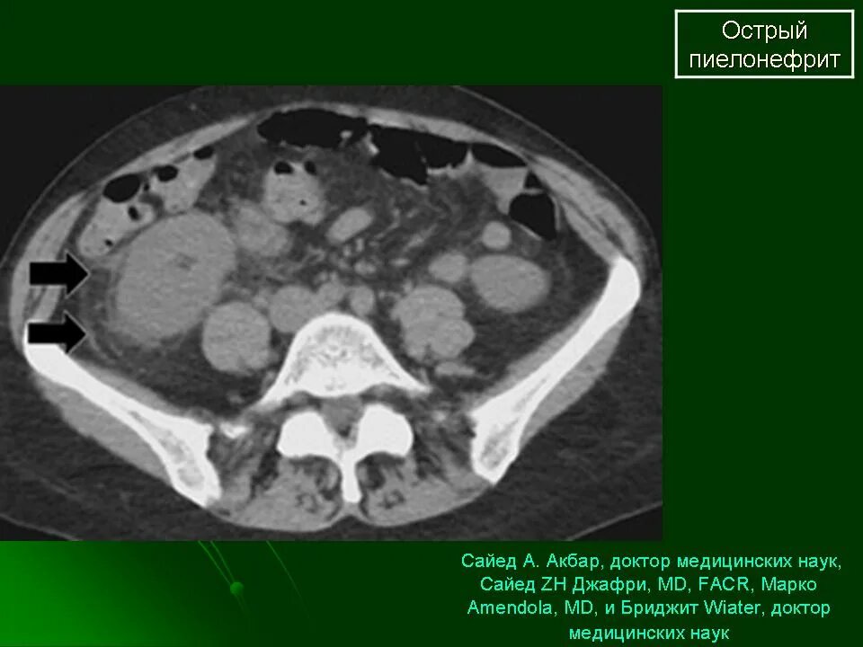
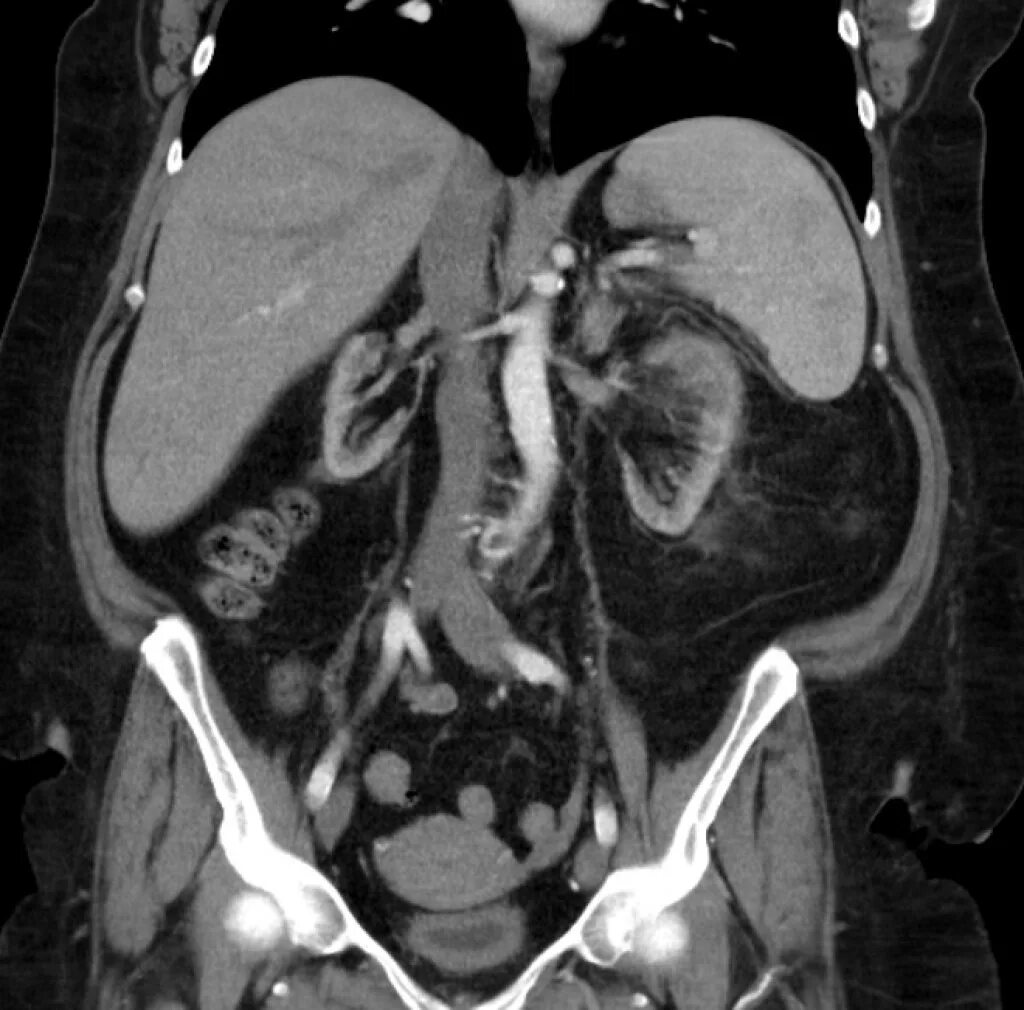
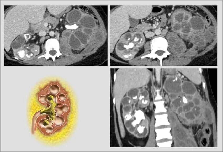
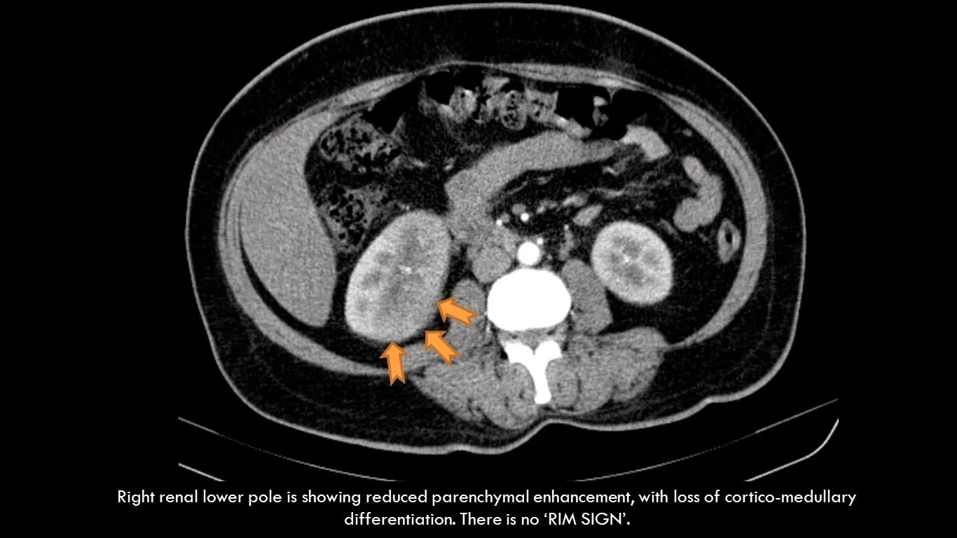
Пиелонефрит кт