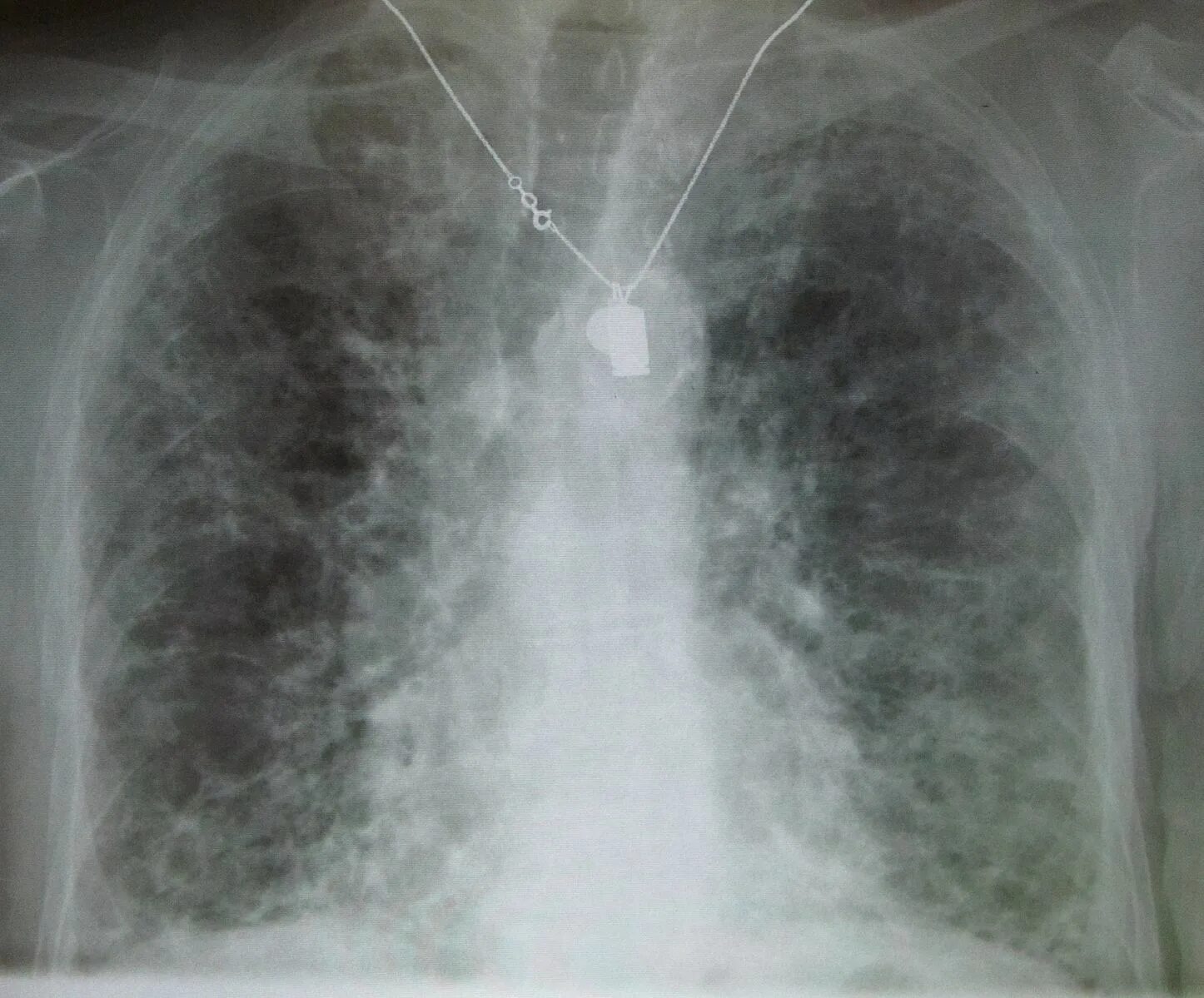
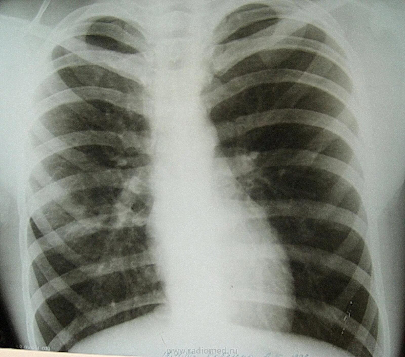
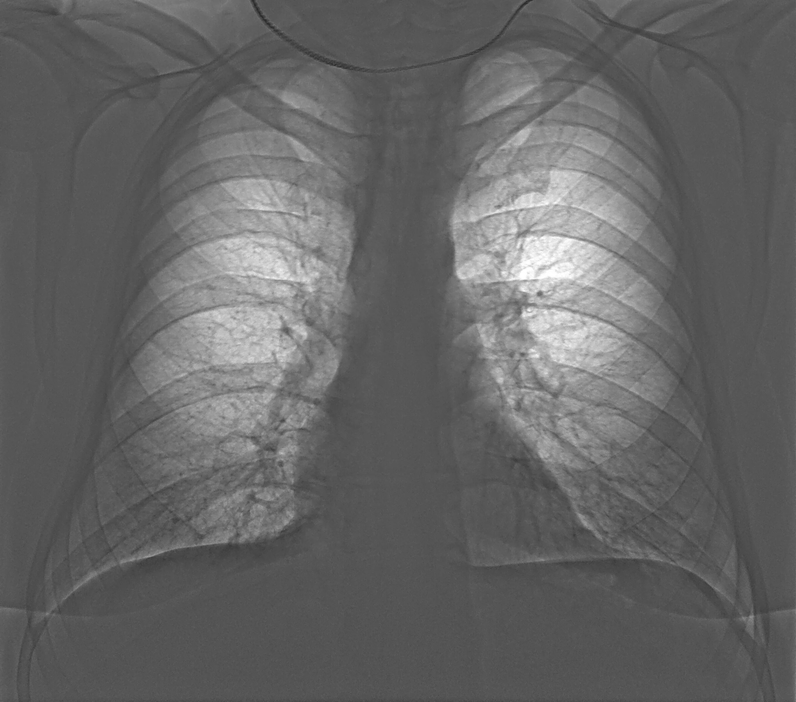
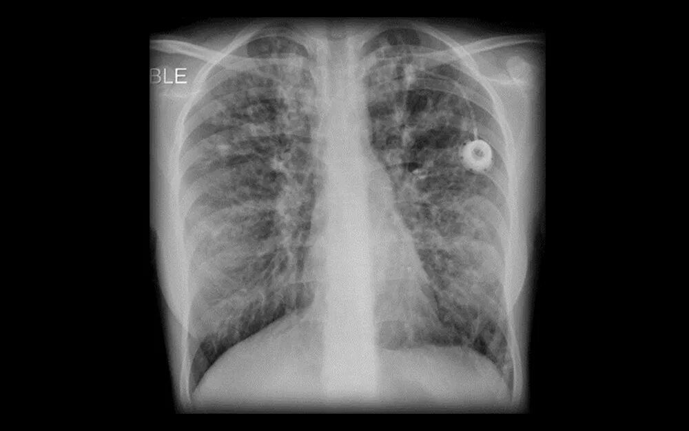
Пневмофиброзные изменения