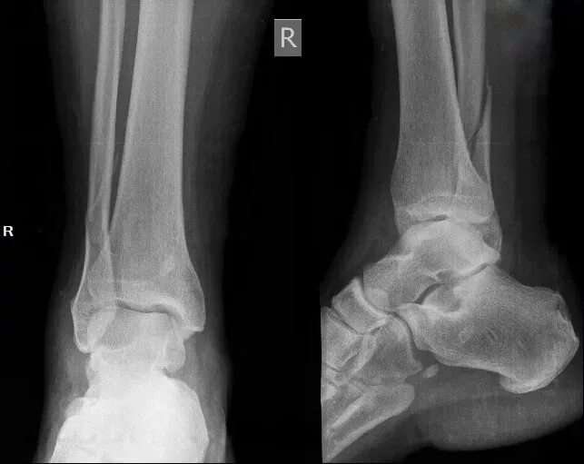
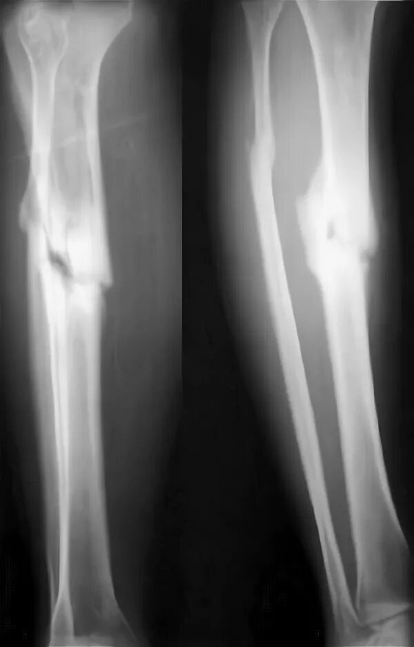
Почему не срастается