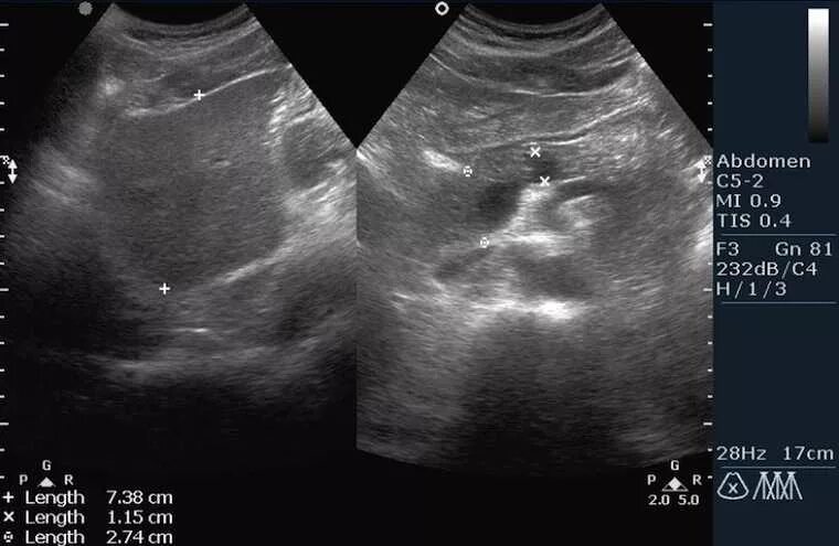
Поджелудочная диффузно неоднородная