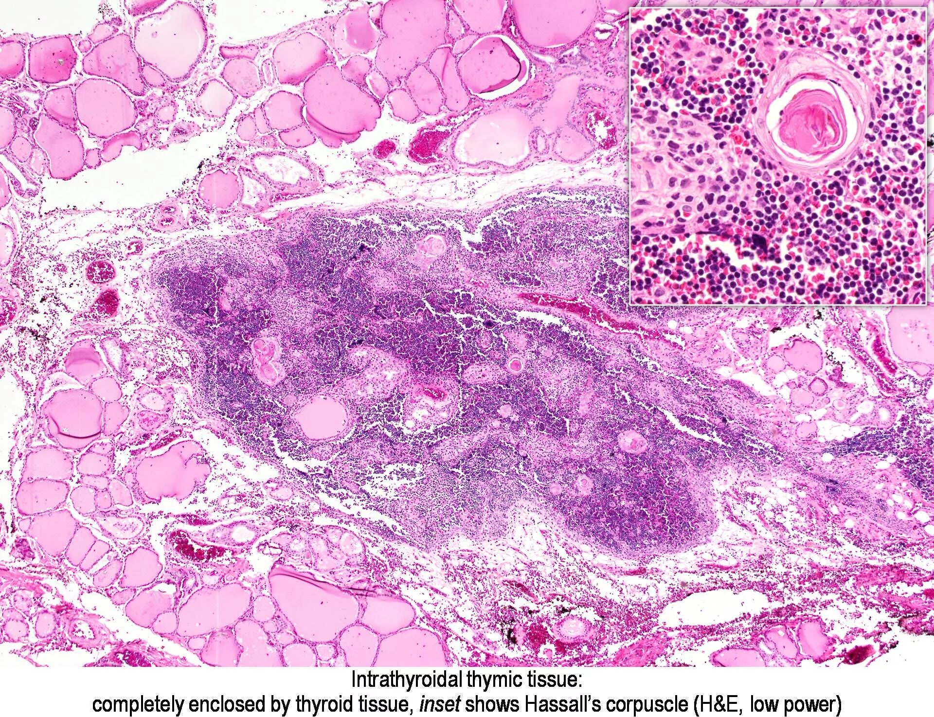
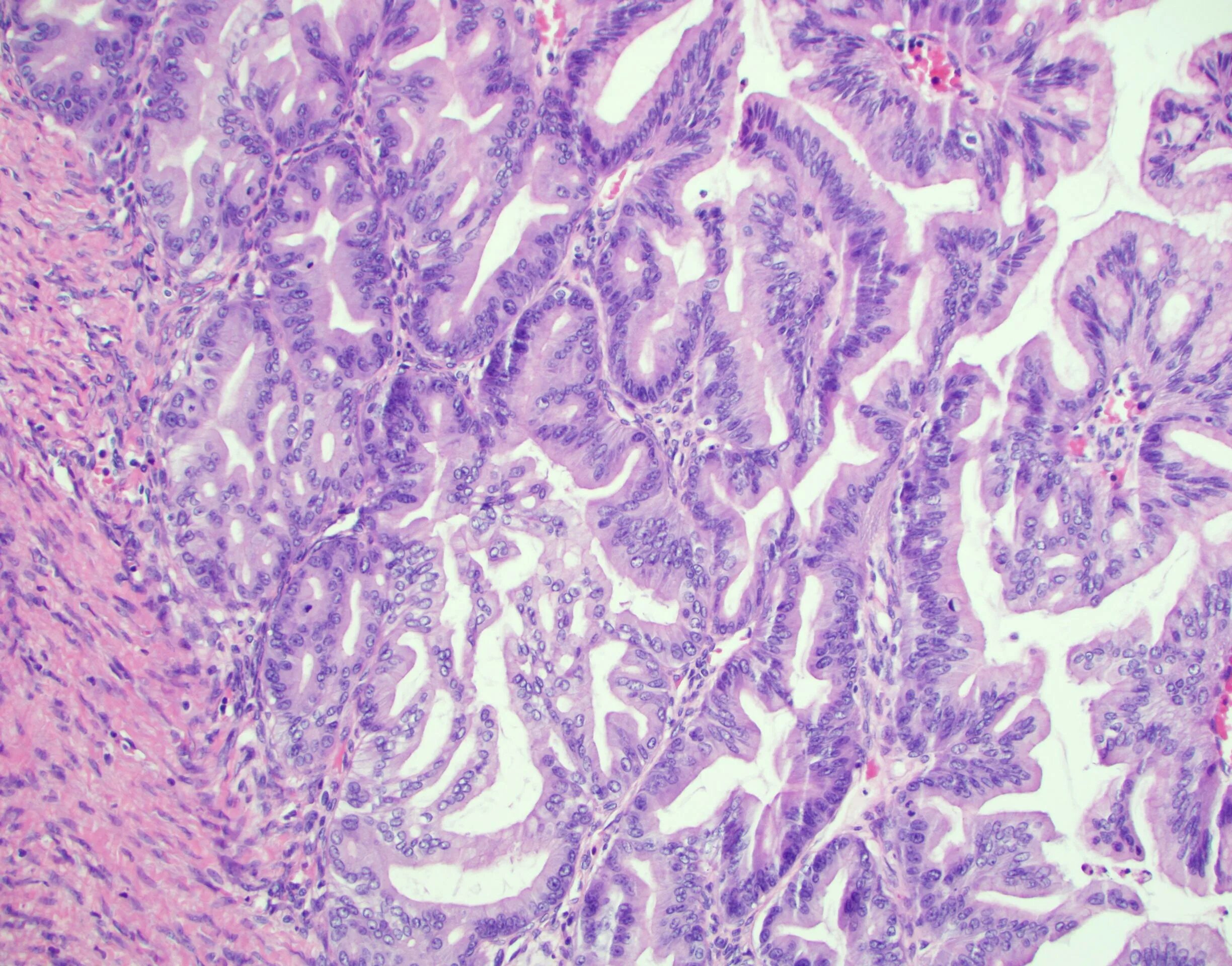
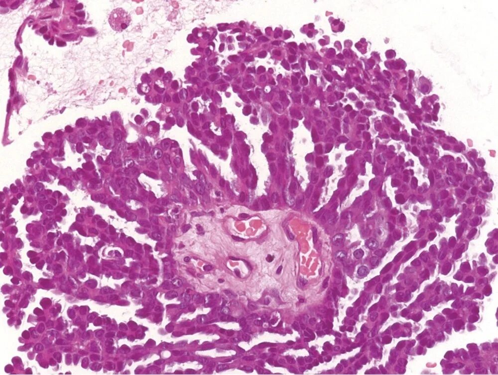
Пограничная гистология