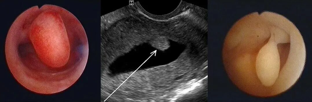
Полип эндометрия в матке причины