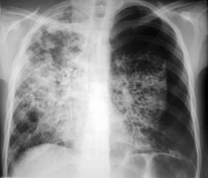
Поражение легких при туберкулезе