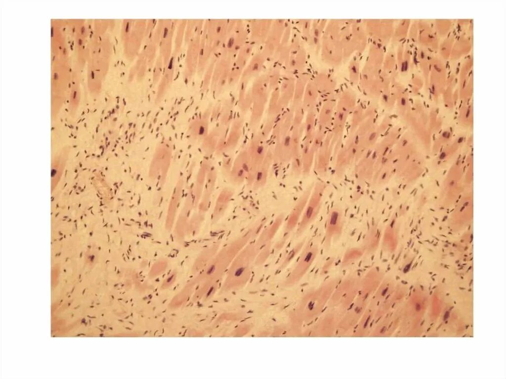
Постинфарктный кардиосклероз