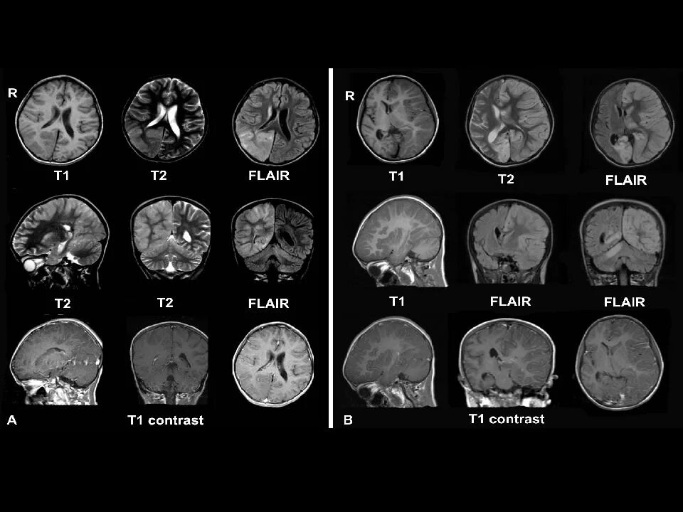
Повторный энцефалит