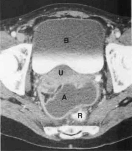
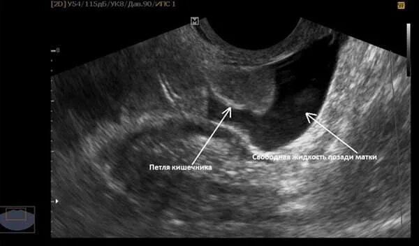
Позадиматочное пространство