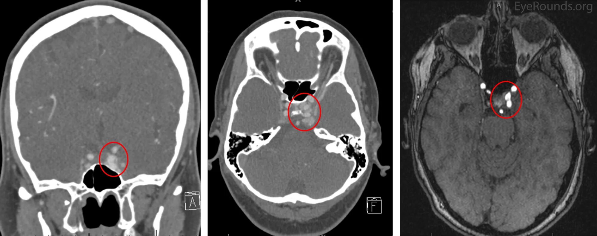
Pre operation