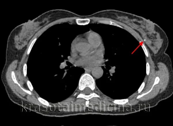
Причина образования кальцинатов