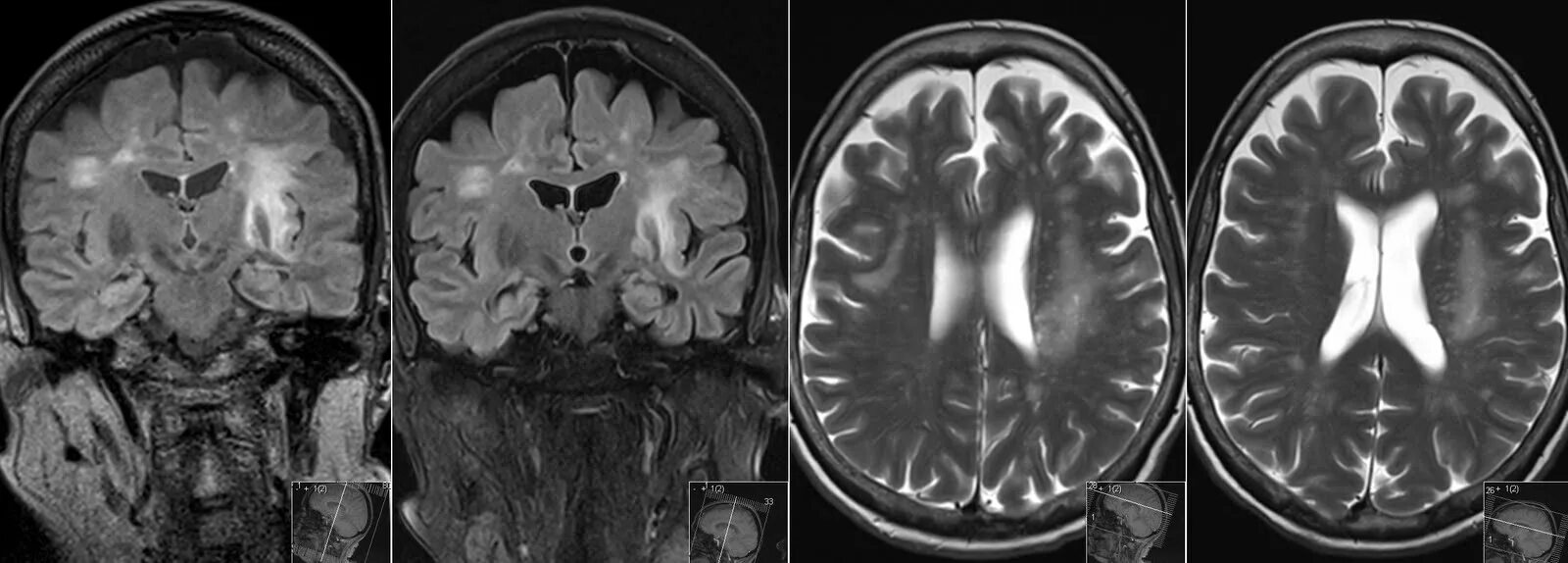
Прогрессирующее заболевание мозга