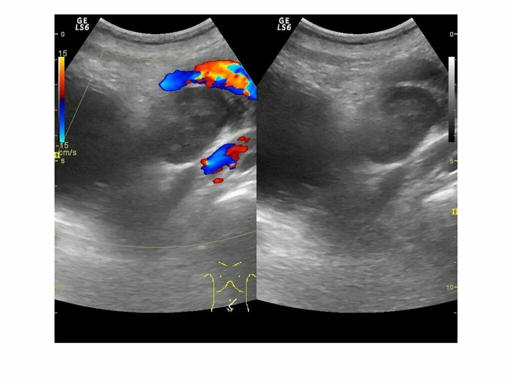
Простатит везикулит