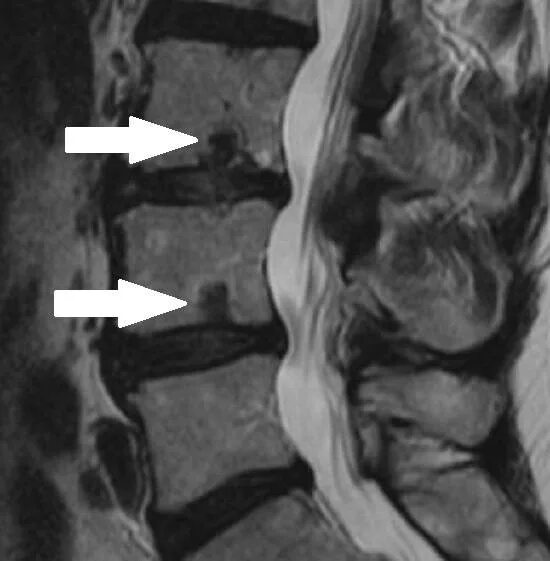
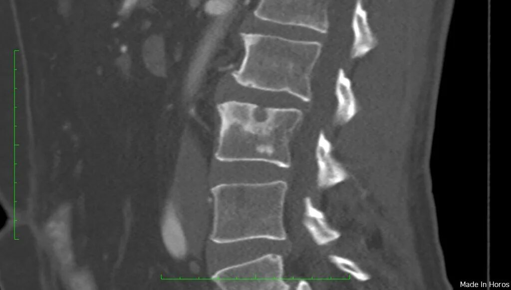
Протрузии шморля