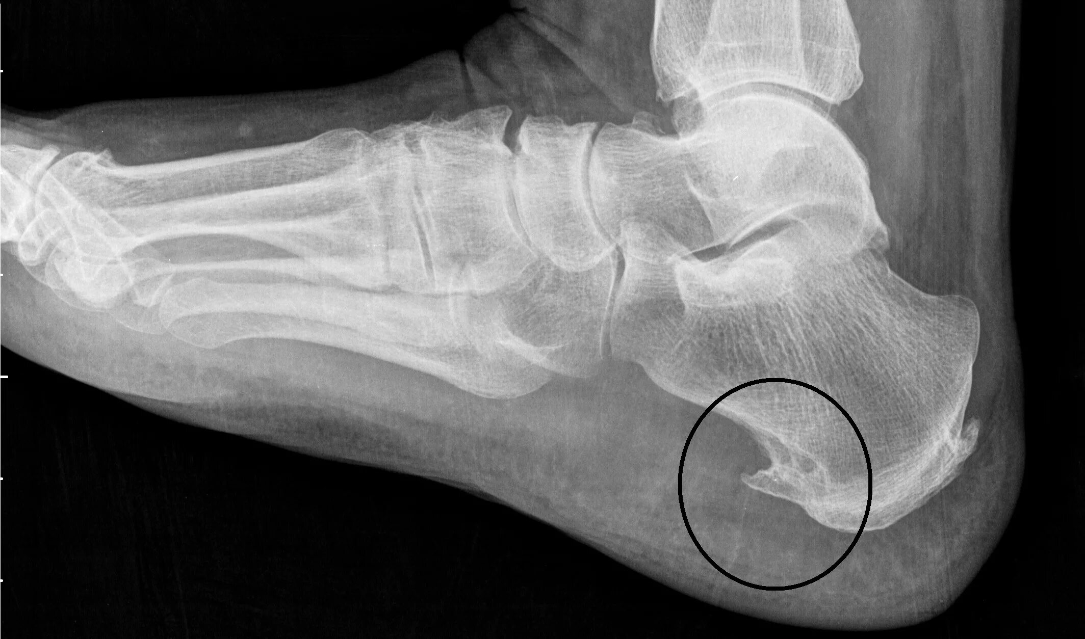
Пяточный фасцит