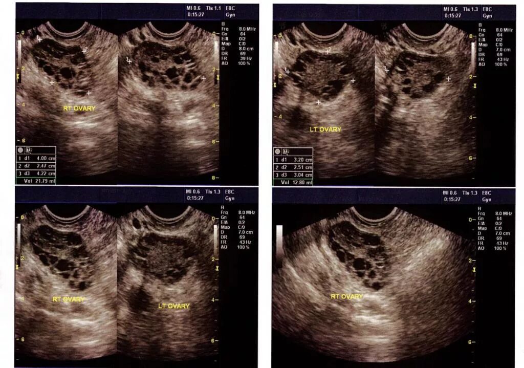
Рак яичников