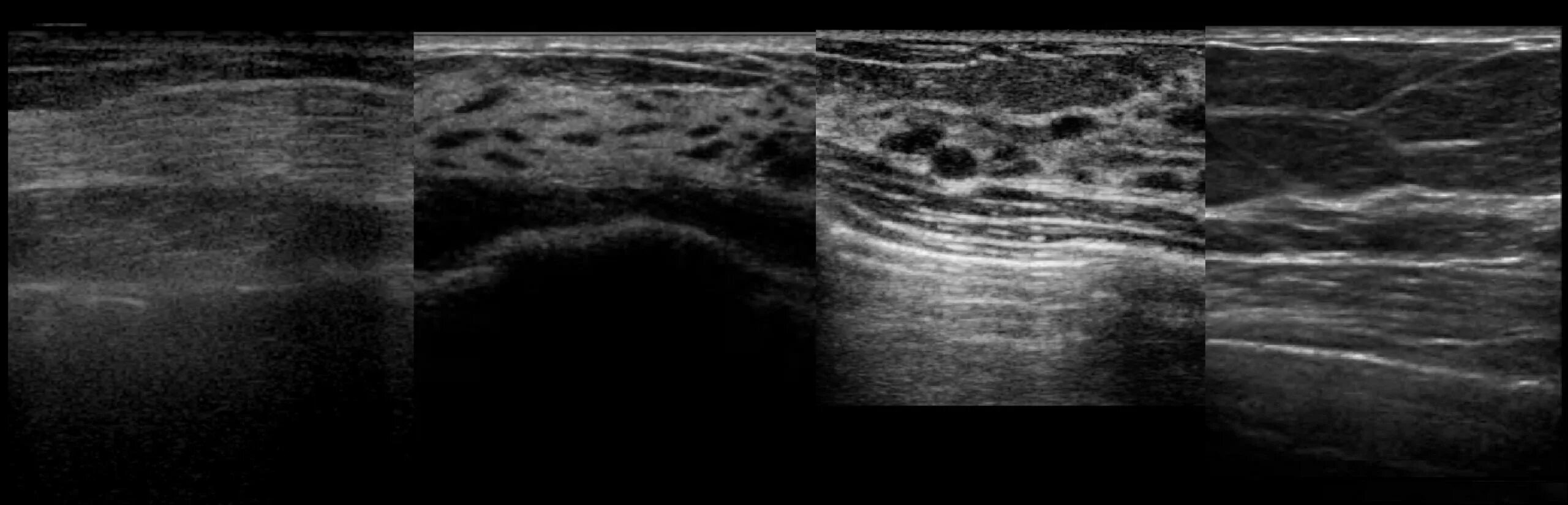
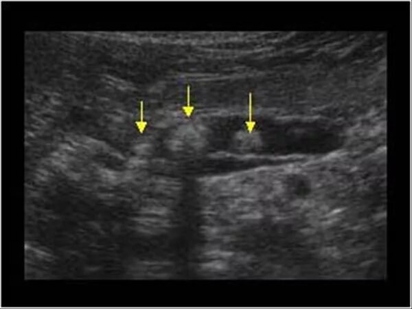
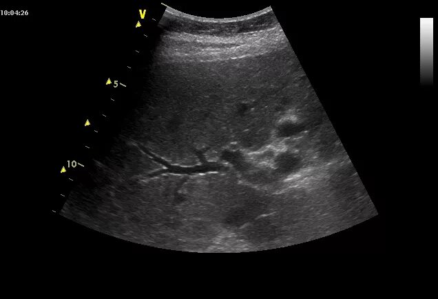
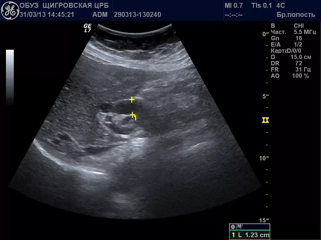
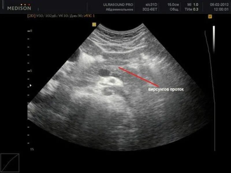
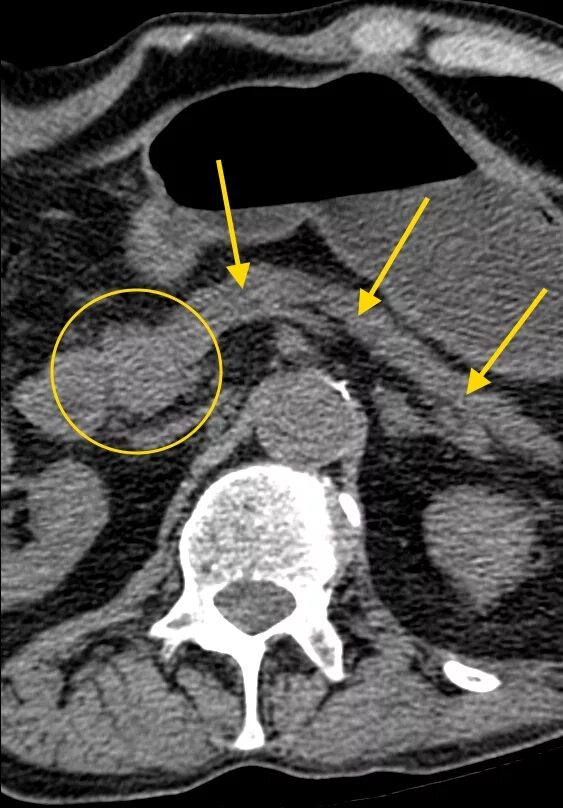
Расширен проток