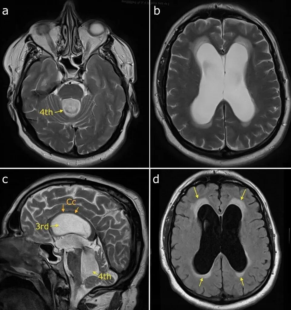
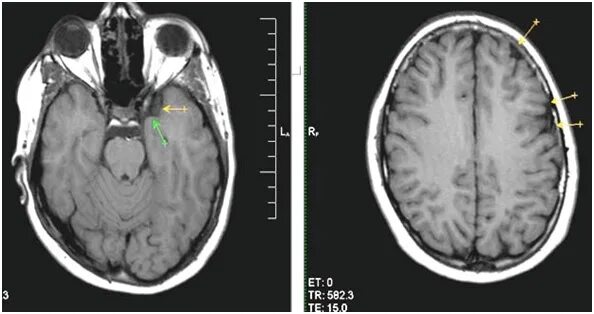
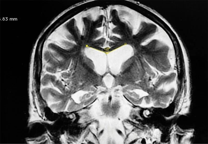
Расширение ликворосодержащих пространств