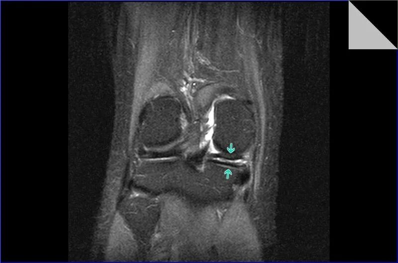
Разрыв заднего