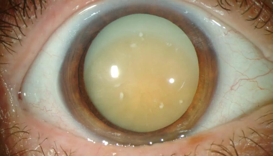
Развитие катаракты симптомы