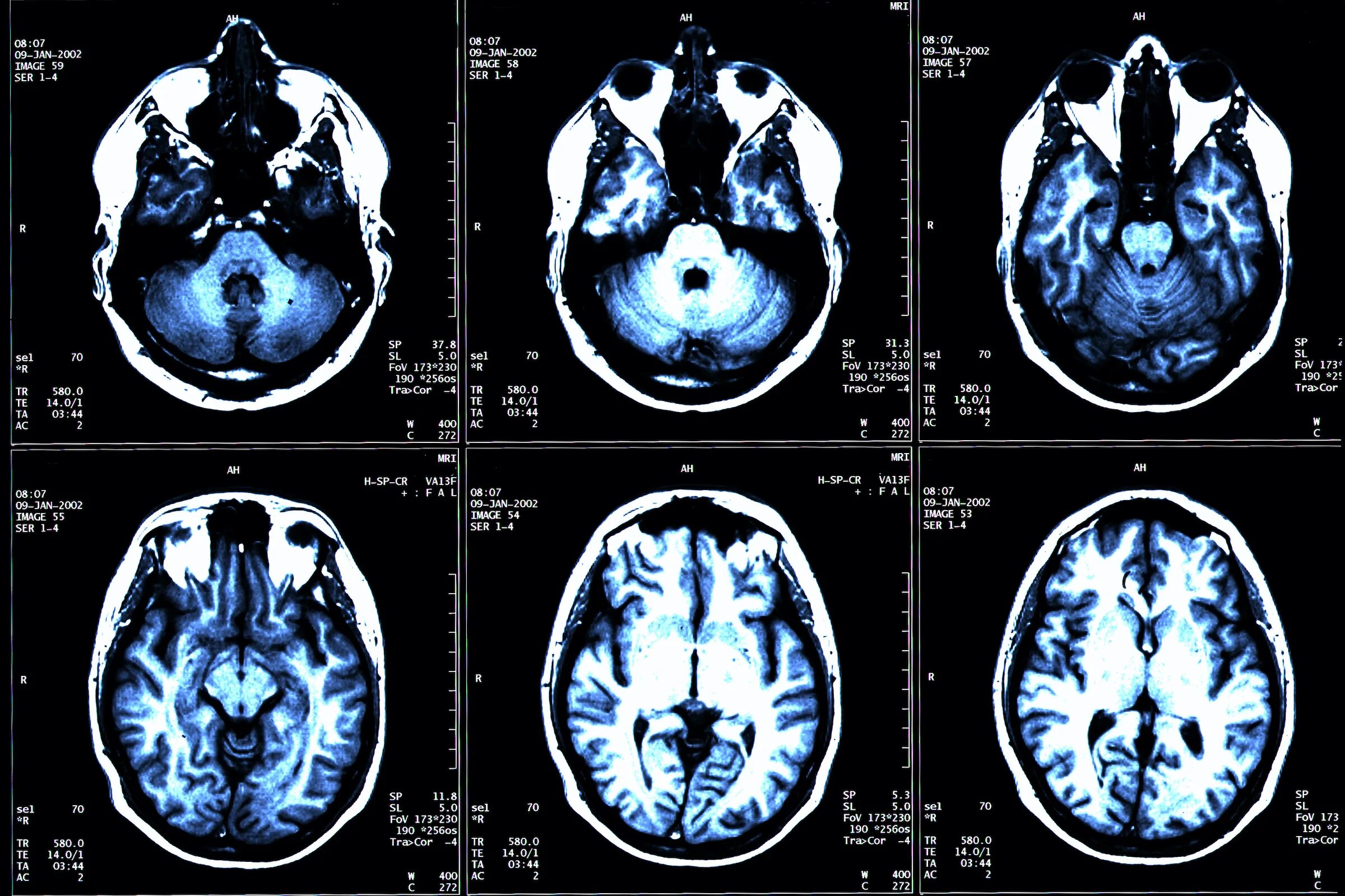
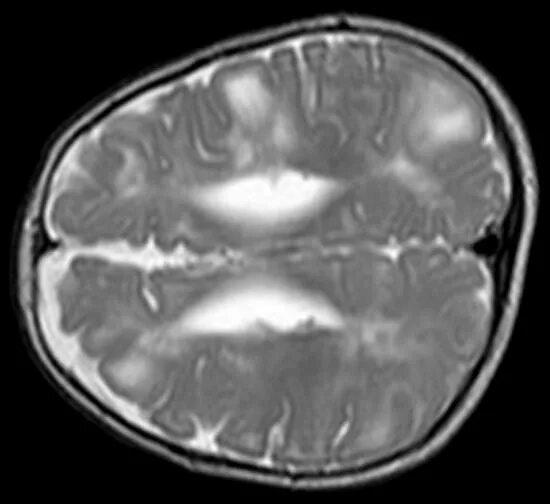
Ребенок асимметрия боковых желудочков