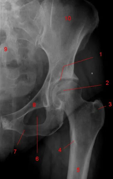
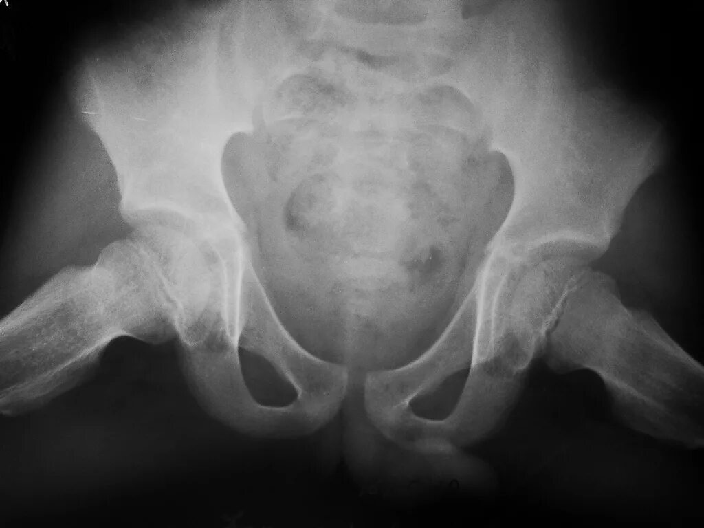
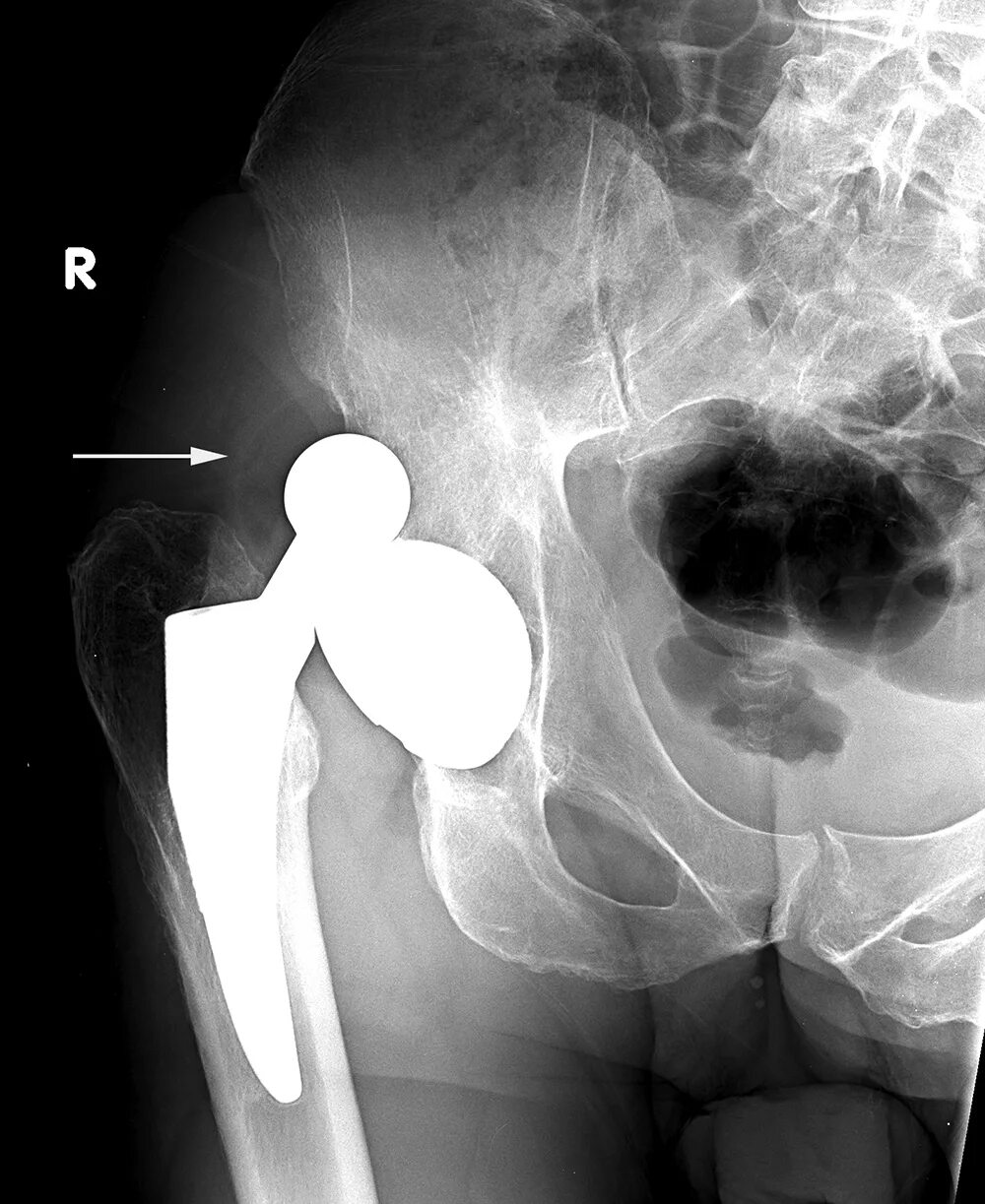
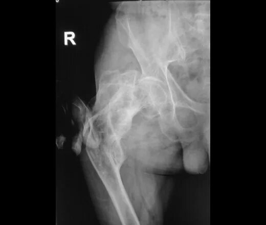
Рентген тазобедренный в двух проекциях