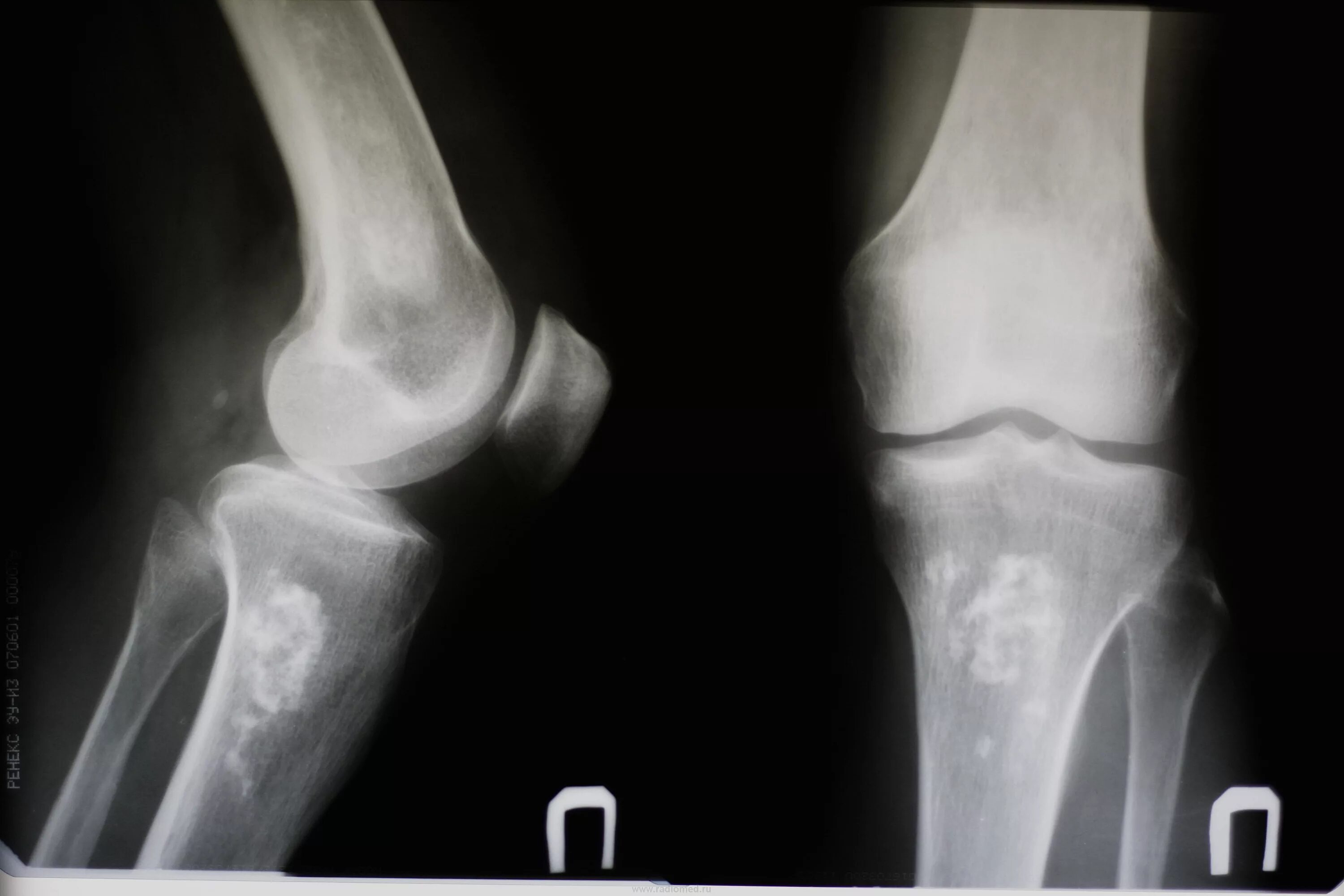
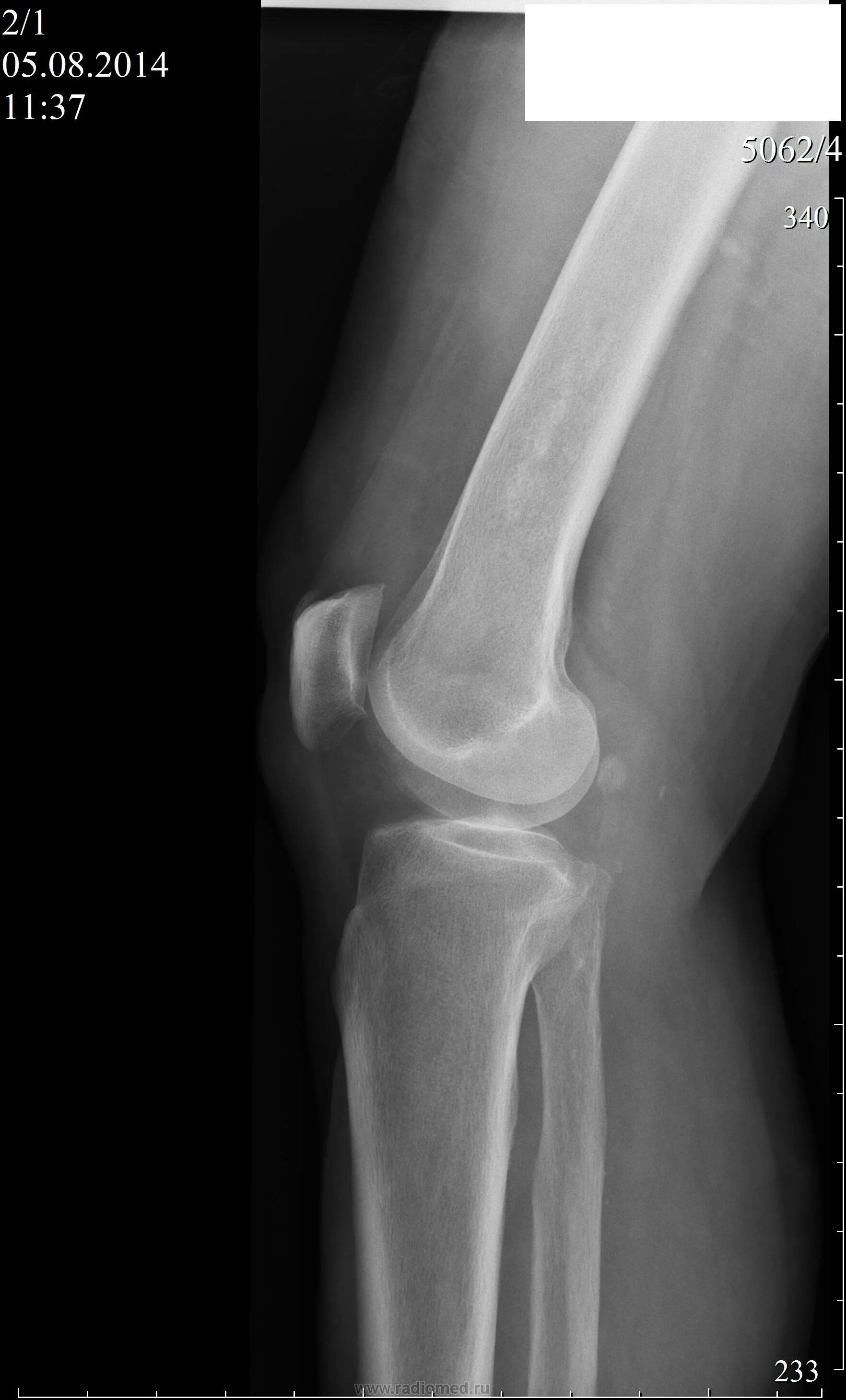
Рентгенография коленного сустава 2 проекции