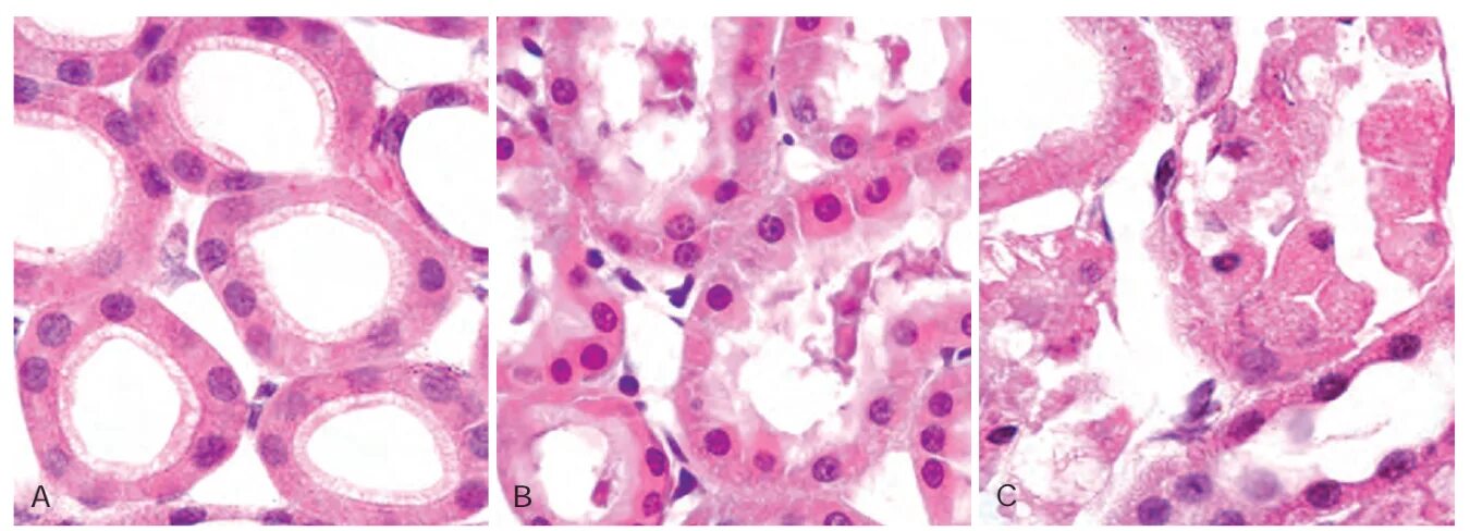
Reversed cell