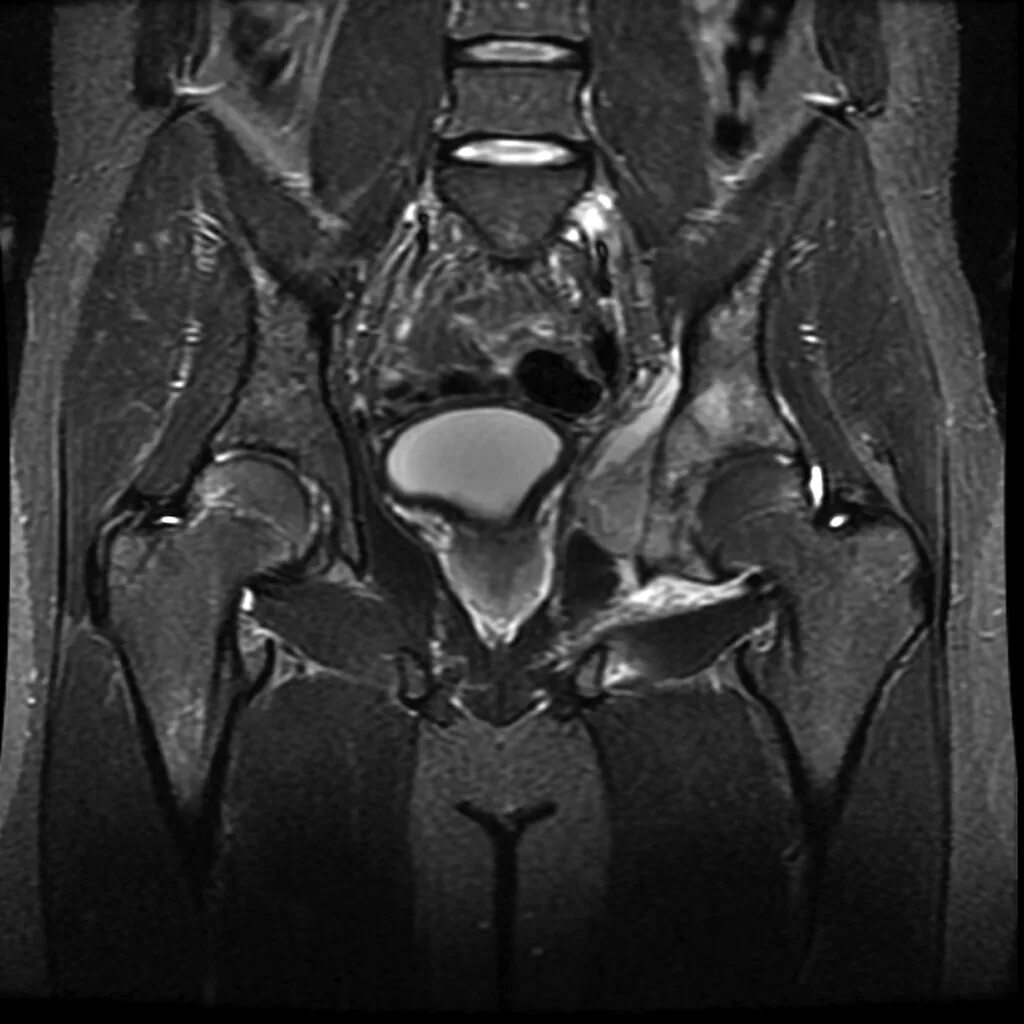
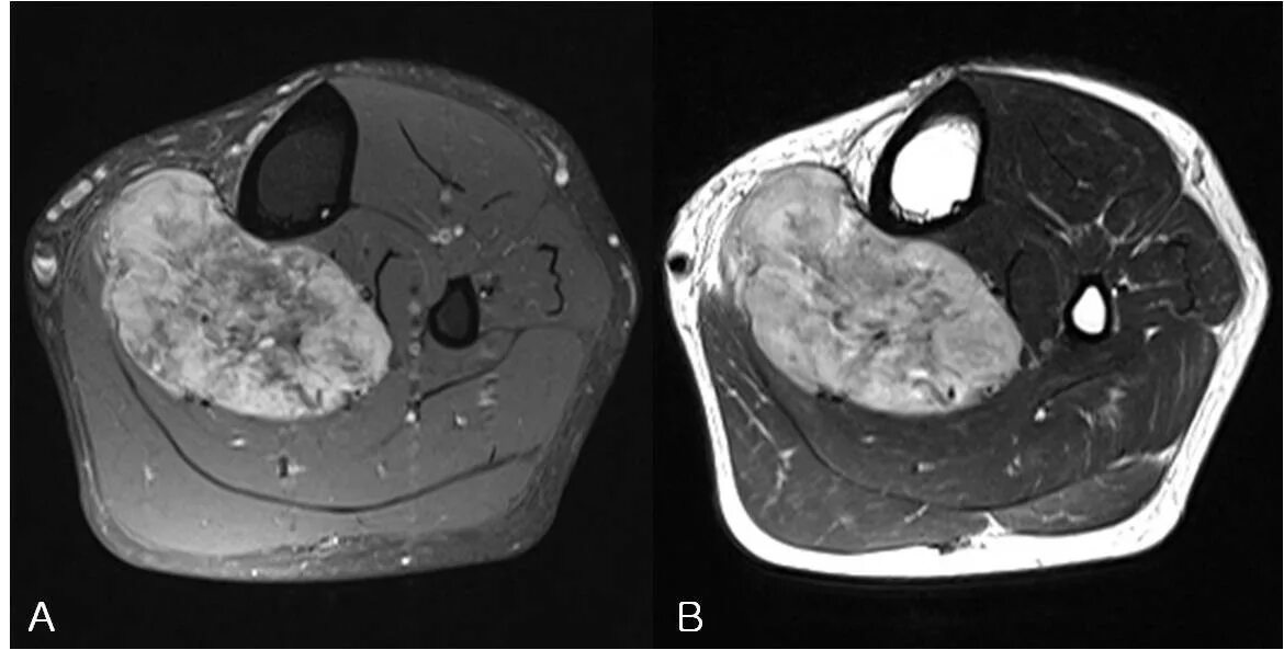
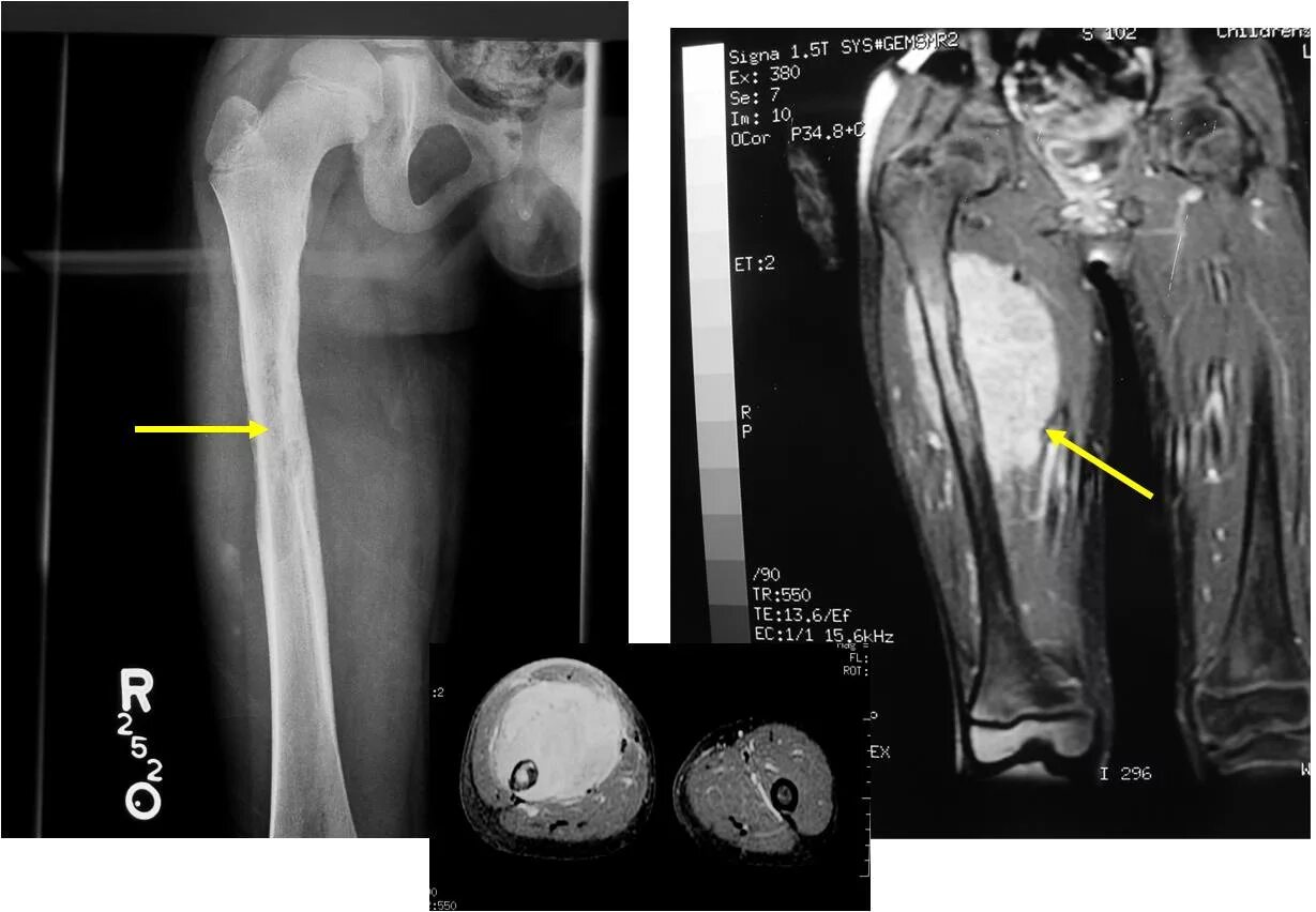
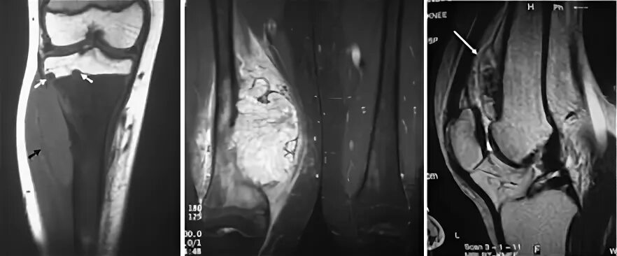
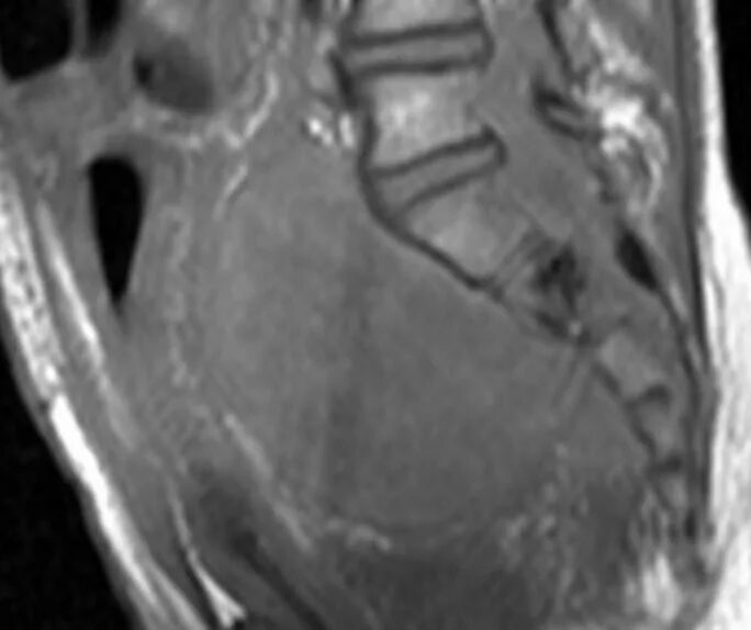
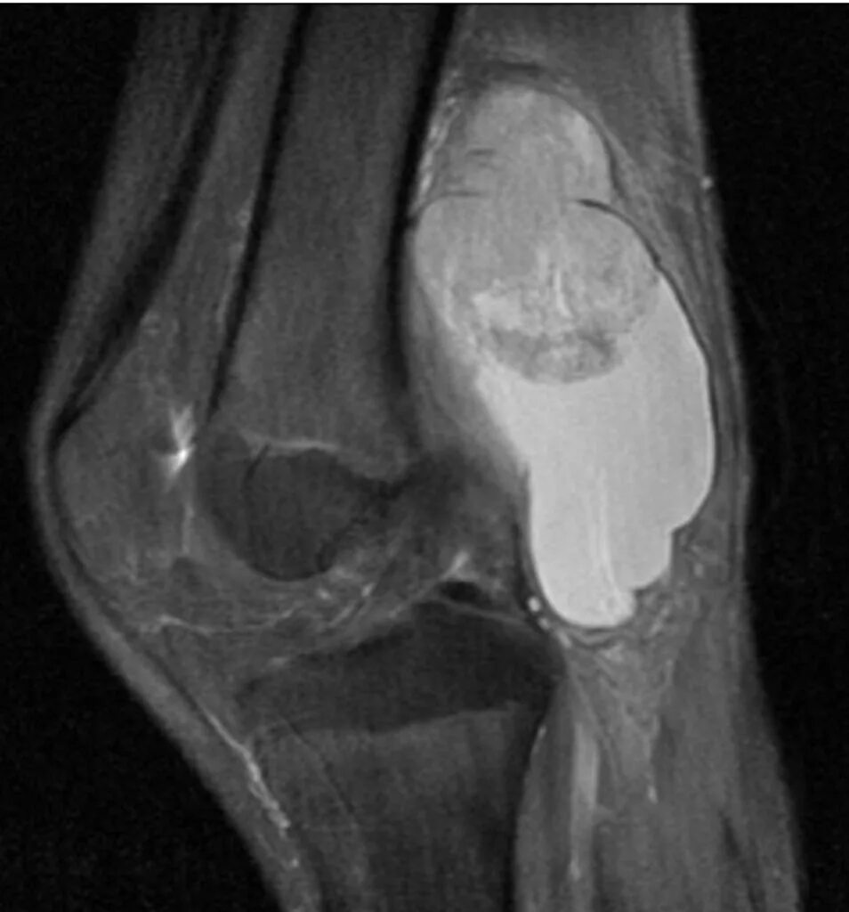
Саркома мрт