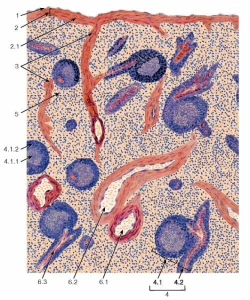
Селезенка препарат гистология